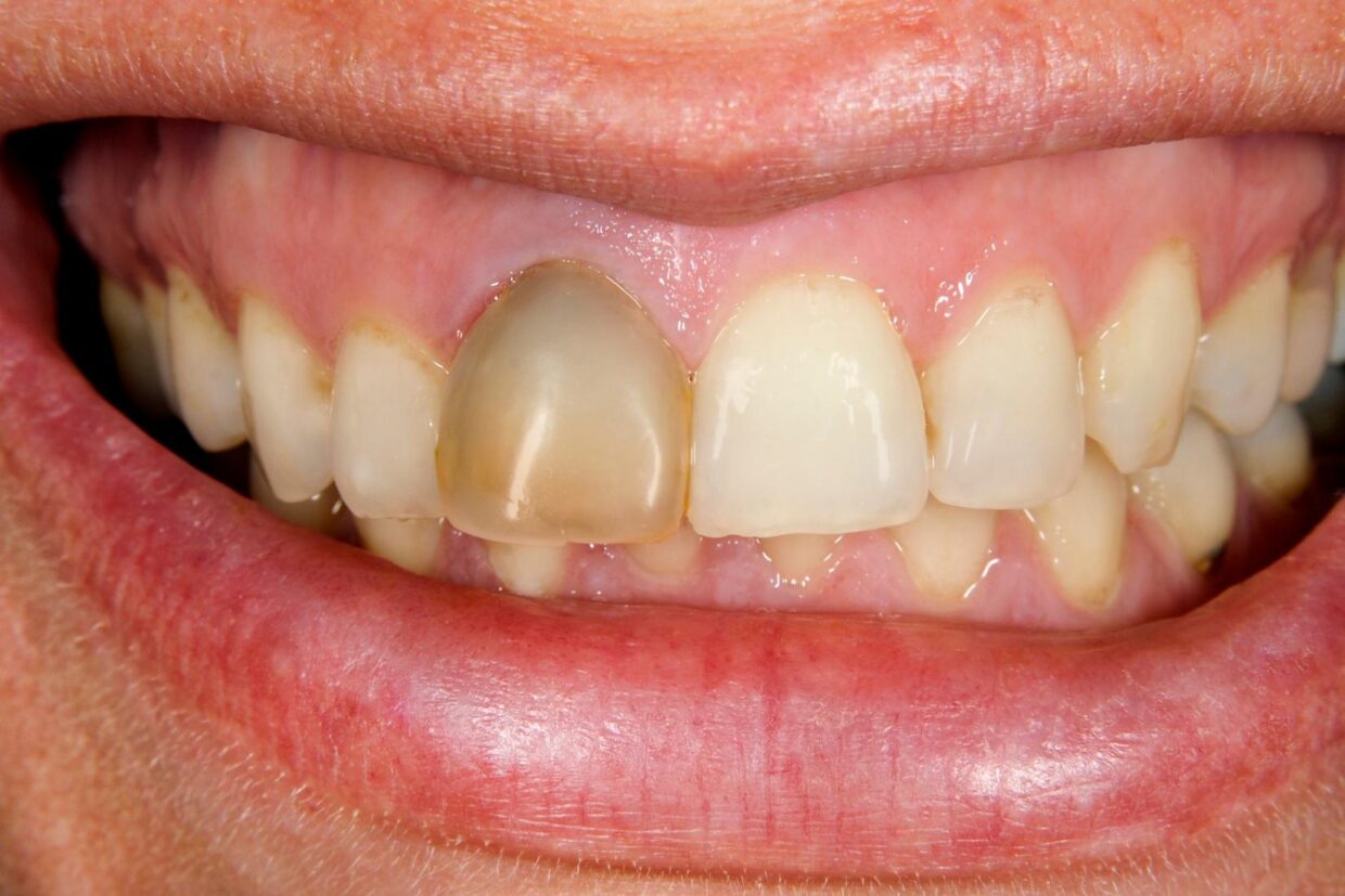
Gülüş estetiği çoğu zaman yalnızca dişlerin rengi, boyutu ve dizilimi üzerinden değerlendirilir. Oysa estetik bir gülüşün algılanmasında diş eti dokusunun görünümü, simetrisi ve sağlığı en az dişler kadar belirleyicidir. Diş eti estetiği, halk arasında yaygın olarak “pembe estetik” olarak adlandırılan; diş eti dokusunun gülüşle uyumlu, sağlıklı ve dengeli bir görünüm kazanmasını hedefleyen planlama yaklaşımıdır.
Diş Eti Estetiği (Pembe Estetik) Nedir?
Diş eti estetiği; diş eti dokusunun rengi, seviyesi, konturu ve simetrisinin, dişler ve yüzle uyumlu olacak şekilde değerlendirilmesini ifade eder. “Pembe estetik” ifadesi, dişlerin beyaz görünümü (beyaz estetik) ile diş etlerinin pembe ve sağlıklı görünümünün birlikte ele alınmasını vurgular.
Bu yaklaşımda amaç:
-
Sağlıklı diş eti dokusunun korunması
-
Diş eti sınırlarının estetik bir hat oluşturması
-
Gülüş sırasında diş–diş eti oranının dengelenmesi
olarak özetlenebilir.
Gülüş Estetiğinde Diş Eti Neden Bu Kadar Önemlidir?
Gülüş sırasında görünen alan yalnızca dişlerden ibaret değildir. Dudakların hareketiyle birlikte diş etleri de görünür hâle gelir. Diş eti dokusunun:
-
Aşırı görünmesi
-
Asimetrik olması
-
Renk ve doku açısından sağlıksız algılanması
gülüş estetiğini olumsuz etkileyebilir. Bu nedenle diş eti estetiği, gülüş tasarımının ayrılmaz bir parçası olarak değerlendirilir.
“Pembe Estetik” Ne Anlama Gelir?
Pembe estetik, diş eti dokusunun sağlıklı, dengeli ve yüzle uyumlu görünümünü ifade eden bir kavramdır. Burada “pembe” ifadesi, sağlıklı diş etlerinin açık pembe tonunu simgeler.
Sağlıklı ve estetik diş etleri:
-
Açık pembe renkte
-
Sıkı ve elastik yapıda
-
Dişleri düzgün şekilde çevreleyen
-
Simetrik konturlara sahip
olarak tanımlanır.
Diş Eti Estetiği Hangi Durumlarda Gündeme Gelir?
Diş eti estetiği her birey için zorunlu bir uygulama değildir. Ancak bazı durumlarda estetik değerlendirme kapsamında ele alınabilir.
Sıklıkla değerlendirilen durumlar:
-
Gülüş sırasında diş etlerinin fazla görünmesi
-
Diş eti seviyelerinin asimetrik olması
-
Diş eti çekilmeleri
-
Diş eti renginde düzensizlik algısı
-
Ön dişlerde diş–diş eti oranının dengesizliği
Bu durumlar, bireyin gülüş algısını etkileyebilir.
“Diş Eti Fazlalığı” Algısı Nedir?
Bazı bireylerde gülüş sırasında dişlerden çok diş etlerinin görünmesi “diş eti fazlalığı” algısına yol açabilir. Bu durum, her zaman patolojik bir sorun anlamına gelmez; dudak hareketi, diş boyları ve diş eti seviyesi birlikte değerlendirilmelidir.
Gülüş sırasında:
-
Dişlerin kısa algılanması
-
Diş etlerinin ön planda olması
estetik açıdan rahatsız edici bulunabilir.
Diş Eti Estetiğinde Değerlendirilen Temel Unsurlar
Diş eti estetiği planlaması çok yönlü bir değerlendirme gerektirir. Tek bir ölçüte göre karar verilmez.
A. Diş Eti Seviyesi ve Konturları
Diş eti hattının, dişlerin doğal anatomisine uygun bir kavis oluşturması estetik açıdan önemlidir. Ön dişlerde simetri, gülüş algısını doğrudan etkiler.
B. Diş–Diş Eti Oranı
Dişlerin boyu ile diş eti seviyesi arasındaki oran, gülüşün dengeli algılanmasını sağlar. Çok kısa veya çok uzun algılanan dişler estetik uyumu bozabilir.
C. Diş Eti Rengi ve Dokusu
Sağlıklı diş eti dokusu homojen, açık pembe renkte ve sıkı yapıdadır. Renk ve doku farklılıkları estetik algıyı etkileyebilir.
D. Dudak Hattı ve Gülüş Dinamiği
Gülüş sırasında dudakların hareketiyle diş etlerinin ne kadar göründüğü değerlendirilir. Bu, “dinamik gülüş analizi”nin önemli bir parçasıdır.
Diş Eti Estetiği ile Gülüş Tasarımı Arasındaki İlişki
Gülüş tasarımı, dişlerin ve diş etlerinin birlikte ele alındığı bütüncül bir yaklaşımdır. Diş eti estetiği olmadan yapılan bir gülüş planlaması, bazı bireylerde eksik bir estetik algı oluşturabilir.
Bu nedenle:
-
Diş rengi
-
Diş formu
-
Diş dizilimi
-
Diş eti konturları
birlikte değerlendirilir.
Diş Eti Estetiği Herkes İçin Gerekli midir?
Hayır. Diş eti estetiği, yalnızca estetik beklentiler ve klinik değerlendirme doğrultusunda ele alınır. Sağlıklı, simetrik ve gülüşle uyumlu diş etlerine sahip bireylerde ek bir estetik planlama gerekmeyebilir.
Diş Eti Estetiği Fonksiyonel Açıdan Neyi Amaçlar?
Diş eti estetiği yalnızca görsel bir düzenleme değildir. Sağlıklı diş eti dokusu:
-
Dişlerin desteklenmesine katkı sağlar
-
Ağız hijyeninin daha kolay sürdürülmesine yardımcı olur
-
Diş eti sağlığının korunmasını destekler
Bu yönüyle estetik ve fonksiyon birlikte ele alınır.
Diş Eti Estetiğinde Kişiye Özel Planlama Neden Önemlidir?
Her bireyin:
-
Yüz yapısı
-
Dudak hareketi
-
Diş eti anatomisi
-
Diş boyutları
farklıdır. Bu nedenle “ideal diş eti görünümü” herkes için aynı değildir. Kişiye özel planlama, doğal ve dengeli bir sonuç hedefler.
Diş Eti Estetiği Öncesi Değerlendirme Süreci
Estetik değerlendirme öncesinde:
-
Ağız içi muayene
-
Diş eti sağlığının durumu
-
Dişlerin konumu ve boyutları
-
Gülüş analizi
birlikte ele alınır. Diş eti sağlığı yeterli değilse, estetik değerlendirme öncesinde sağlığın korunması önceliklidir.
Diş Eti Estetiği ile İlgili Yaygın Yanlış Algılar
Yanlış: “Pembe estetik sadece kozmetiktir.”
Gerçek: Sağlık ve estetik birlikte değerlendirilir.
Yanlış: “Herkesin diş eti aynı görünmelidir.”
Gerçek: Estetik algı kişiye özgüdür.
Diş Eti Estetiği Kalıcı mıdır?
Diş eti görünümünün korunması, ağız bakım alışkanlıkları ve düzenli kontrollerle ilişkilidir. Diş eti sağlığının sürdürülebilirliği, estetik görünümün devamı açısından önem taşır.
Günlük Hayatta Diş Eti Estetiğini Etkileyen Faktörler
-
Ağız hijyenine gösterilen özen
-
Yanlış fırçalama alışkanlıkları
-
Diş sıkma veya gıcırdatma
-
Sigara ve benzeri alışkanlıklar
Bu faktörler diş eti görünümünü zamanla etkileyebilir.
Diş Eti Estetiğinde Bilinçli Yaklaşımın Önemi
Estetik beklentiler kadar, diş eti dokusunun sağlığı da ön planda tutulmalıdır. Bilinçli yaklaşım, doğal görünüm ve uzun vadeli ağız sağlığı açısından önemlidir.
Diş eti estetiği (pembe estetik), gülüş estetiğinin önemli ve tamamlayıcı bir parçasıdır. Diş eti dokusunun rengi, seviyesi, konturu ve simetrisi; dişler ve yüzle birlikte değerlendirilerek gülüş algısını doğrudan etkiler.
Diş ağrısı, günlük yaşam kalitesini ciddi şekilde etkileyebilen ve çoğu zaman altında yatan önemli bir soruna işaret eden bir belirtidir. Bu ağrıların bir kısmı yüzeysel nedenlerle ilişkilendirilebilirken, bazı durumlarda dişin iç dokularının etkilendiği daha derin bir süreç söz konusu olabilir. Bu noktada sıkça gündeme gelen sorulardan biri de “Kanal tedavisi gerekli mi?” sorusudur. Kanal tedavisi, halk arasında çoğu zaman korkutucu bir işlem olarak algılansa da, aslında dişin ağızda kalmasını amaçlayan koruyucu bir endodontik yaklaşımdır.
Kanal Tedavisi (Endodontik Tedavi) Nedir?
Kanal tedavisi, dişin iç kısmında bulunan ve “pulpa” olarak adlandırılan sinir-damar dokusunun etkilendiği durumlarda uygulanan bir tedavi yaklaşımıdır. Endodonti, dişin iç yapısıyla ilgilenen diş hekimliği dalıdır.
Pulpa dokusu:
-
Dişin canlılığını sağlar
-
Sinir ve damar yapılarından oluşur
-
Dişin gelişim sürecinde önemli rol oynar
Bu dokunun zarar görmesi veya iltihaplanması durumunda kanal tedavisi gündeme gelebilir.
Kanal Tedavisi Neden Gerekebilir?
Kanal tedavisi, dişin iç dokularının geri dönüşü olmayan şekilde etkilendiği durumlarda değerlendirilir. Amaç, enfekte veya hasarlı pulpa dokusunun temizlenmesi ve dişin ağızda fonksiyon görmeye devam etmesidir.
Kanal tedavisi genellikle:
-
Derin diş çürükleri
-
Dişe alınan darbeler
-
Tekrarlayan restorasyon işlemleri
-
Diş çatlakları
sonucunda gündeme gelebilir.
Dişin İç Yapısında Ne Olur?
Diş çürüğü veya travma, diş minesini ve dentin tabakasını aşarak pulpa dokusuna ulaştığında iltihabi bir süreç başlayabilir. Bu süreç:
-
Başlangıçta hafif hassasiyet
-
Zamanla artan ağrı
-
İleri aşamalarda şiddetli ve sürekli ağrı
şeklinde ilerleyebilir. Ancak her durumda ağrı aynı şiddette hissedilmeyebilir.
Kanal Tedavisi Gerekli mi? Sorusu Neden Sık Sorulur?
Kanal tedavisi kararı, her diş ağrısında otomatik olarak verilmez. Bazı diş ağrıları yüzeysel hassasiyetlerle ilişkiliyken, bazıları dişin iç dokularına ait sorunların göstergesi olabilir. Bu ayrımı yapmak her zaman birey tarafından kolay değildir.
Bu nedenle:
-
Ağrının türü
-
Süresi
-
Şiddeti
-
Uyaranlara verdiği tepki
önemli ipuçları sunar.
Endodontik Tedaviye İşaret Edebilecek Belirtiler
Aşağıda yer alan belirtiler, kanal tedavisinin değerlendirilmesini gerektirebilecek durumlar arasında yer alır. Ancak bu belirtiler tek başına kesin tanı anlamına gelmez.
A. Uzun Süre Geçmeyen Diş Ağrısı
Kısa süreli ve hafif ağrılar her zaman kanal tedavisi gerektirmez. Ancak:
-
Günlerdir devam eden
-
Kendiliğinden başlayan
-
Gece artan
diş ağrıları, pulpa dokusunun etkilenmiş olabileceğini düşündürebilir.
B. Gece Ağrısı
Gece ortaya çıkan veya gece artan diş ağrıları, endodontik kaynaklı ağrıların tipik özelliklerinden biri olarak kabul edilir. Bu tür ağrılar genellikle zonklayıcı ve rahatsız edicidir.
C. Sıcak ve Soğuğa Karşı Uzun Süreli Hassasiyet
Soğuk veya sıcak uyaranla oluşan hassasiyetin uyaran ortadan kalktıktan sonra uzun süre devam etmesi, pulpa dokusunda hasar olabileceğine işaret edebilir.
D. Çiğneme veya Basınçla Artan Ağrı
Diş üzerine basınç uygulandığında veya çiğneme sırasında hissedilen ağrı, diş kökü çevresindeki dokuların etkilenmiş olabileceğini düşündürebilir.
E. Dişte Renk Değişikliği
Bazı durumlarda diş, komşu dişlere göre daha koyu bir renk alabilir. Bu durum, dişin iç dokularındaki değişikliklerle ilişkili olabilir.
F. Diş Eti Bölgesinde Şişlik veya Hassasiyet
Diş kökü çevresindeki iltihabi süreçler, diş eti bölgesinde şişlik, hassasiyet veya dolgunluk hissine neden olabilir. Bu durum her zaman ağrı ile birlikte görülmeyebilir.
G. Kendiliğinden Başlayan Ağrı
Herhangi bir uyaran olmadan başlayan ve zaman zaman şiddetlenen ağrılar, endodontik kaynaklı sorunların habercisi olabilir.
Kanal Tedavisi Gerektirmeyen Durumlar da Olabilir mi?
Evet. Her diş ağrısı veya hassasiyeti kanal tedavisi gerektirmez. Örneğin:
-
Yüzeysel mine hassasiyeti
-
Geçici diş eti problemleri
-
Yeni yapılmış restorasyonlara bağlı kısa süreli hassasiyet
kanal tedavisi gerektirmeyen durumlar arasında yer alabilir.
Kanal Tedavisi Neden Ertelenmemelidir?
Endodontik kaynaklı sorunlar zamanla kendiliğinden iyileşmez. Tedavi edilmediğinde:
-
İltihap ilerleyebilir
-
Dişi çevreleyen dokular etkilenebilir
-
Dişin ağızda kalma ihtimali azalabilir
Bu nedenle erken farkındalık önemlidir.
Kanal Tedavisi ile Diş Çekimi Aynı Şey midir?
Hayır. Kanal tedavisi, dişi çekmek yerine dişi ağızda tutmayı amaçlayan bir yaklaşımdır. Dişin fonksiyon görmeye devam etmesi hedeflenir.
Kanal Tedavisi Hakkında Yaygın Yanlış Algılar
Yanlış: “Kanal tedavisi çok ağrılıdır.”
Gerçek: Ağrı, çoğu zaman dişin mevcut iltihabıyla ilişkilidir; kanal tedavisi bu sorunu ortadan kaldırmayı amaçlar.
Yanlış: “Kanal tedavisi yapılan diş artık işe yaramaz.”
Gerçek: Kanal tedavisi sonrası diş, uygun restorasyonla fonksiyon görmeye devam edebilir.
Kanal Tedavisi Süreci Ne Kadar Sürer?
Kanal tedavisinin süresi:
-
Dişin kök sayısına
-
İltihabın durumuna
-
Klinik koşullara
bağlı olarak değişebilir. Bazı durumlarda birden fazla seans gerekebilir.
Kanal Tedavisi Sonrası Diş Neden Önemlidir?
Kanal tedavisi sonrası diş canlılığını kaybetse de, çiğneme fonksiyonu ve estetik açıdan ağızda önemli bir rol oynamaya devam eder. Bu nedenle uygun restorasyon ve ağız bakımı büyük önem taşır.
Kanal Tedavisi ve Günlük Hayat
Kanal tedavisi sonrası çoğu birey günlük yaşamına kısa sürede dönebilir. Ancak dişin uyum süreci kişiden kişiye farklılık gösterebilir.
Endodontik Tedavide Erken Farkındalığın Önemi
Erken dönemde fark edilen endodontik sorunlar, daha sınırlı müdahalelerle kontrol altına alınabilir. Bu durum dişin uzun vadede ağızda kalma şansını artırır.
Kanal Tedavisi ile İlgili Bilimsel Yaklaşım
Endodontik tedaviler, bilimsel protokoller ve klinik değerlendirmeler doğrultusunda planlanır. Amaç, dişin iç dokularındaki sorunu ortadan kaldırarak ağız sağlığını korumaktır.
Ne Zaman Dikkatli Olunmalı?
Aşağıdaki durumlarda diş ağrısı daha dikkatle değerlendirilmelidir:
-
Uzun süredir geçmeyen ağrı
-
Gece artan sızlama
-
Sıcak-soğuk hassasiyetinin uzun sürmesi
-
Basınçla ağrı
Bu belirtiler, kanal tedavisinin değerlendirilmesini gerektirebilir.
Kanal tedavisi, dişin iç dokularının etkilendiği durumlarda dişi ağızda tutmayı amaçlayan önemli bir endodontik yaklaşımdır. Uzun süreli diş ağrısı, gece ağrıları, sıcak-soğuk hassasiyetinin devam etmesi ve çiğneme sırasında ağrı gibi belirtiler, endodontik tedavi ihtiyacına işaret edebilir.
Beyaz ve aydınlık bir gülüş, estetik algının önemli bir parçası olarak görülmektedir. Bu nedenle diş beyazlatma uygulamaları, son yıllarda giderek daha fazla merak edilen ve konuşulan konular arasında yer almaktadır. Ancak diş beyazlatmaya yönelik ilginin artmasıyla birlikte, “Diş beyazlatma zararlı mı?” sorusu da sıkça gündeme gelmektedir. Özellikle sosyal medyada ve günlük hayatta paylaşılan farklı deneyimler, bu konuda kafa karışıklığına yol açabilmektedir.
Diş Beyazlatma Nedir?
Diş beyazlatma, dişlerin doğal renginde zamanla oluşan renklenmelerin giderilmesini veya diş renginin daha açık bir tona taşınmasını amaçlayan bir işlemdir. Bu renk değişiklikleri genellikle diş minesinin yapısı ve diş yüzeyindeki pigmentlerle ilişkilidir.
Diş beyazlatma:
-
Estetik amaçlı bir uygulamadır
-
Dişin yapısal bütünlüğünü değiştirmeyi hedeflemez
-
Renklenmelere yönelik bir düzenleme olarak değerlendirilir
Dişler Neden Renk Değiştirir?
Diş rengindeki değişimler birçok faktöre bağlı olarak ortaya çıkabilir. Bu faktörler dış kaynaklı veya iç kaynaklı olabilir.
Dış Kaynaklı Renklenmeler
-
Çay, kahve gibi renklendirici içecekler
-
Tütün ürünleri
-
Bazı besinler
Bu tür renklenmeler genellikle diş yüzeyinde birikir.
İç Kaynaklı Renklenmeler
-
Diş yapısındaki doğal renk değişimleri
-
Yaşla birlikte görülen renk koyulaşmaları
-
Dişin iç yapısındaki değişiklikler
Bu renklenmeler dişin iç dokularıyla ilişkilidir.
Diş Beyazlatma Nasıl Etki Gösterir?
Diş beyazlatma uygulamalarında amaç, diş dokusundaki renklenmelere neden olan pigmentlerin etkisini azaltmaktır. Bu süreçte dişin rengi daha açık algılanabilir. Beyazlatma işlemi, dişin yapısal bütünlüğünü değiştirmekten ziyade optik bir etki yaratır.
Diş Beyazlatma Zararlı mı?
Bu soruya tek kelimelik bir yanıt vermek doğru olmaz. Diş beyazlatmanın etkileri; kullanılan yönteme, uygulama sürecine ve bireyin diş yapısına bağlı olarak değişkenlik gösterebilir.
Bilimsel literatürde, uygun koşullarda ve doğru değerlendirmeyle yapılan diş beyazlatma işlemlerinin diş dokusuna kalıcı zarar verdiğine dair genel bir kabul bulunmamaktadır. Ancak yanlış, kontrolsüz veya bilinçsiz uygulamalar bazı olumsuz durumlara yol açabilir.
Diş Beyazlatma Hangi Durumlarda Dikkatle Ele Alınmalıdır?
Her bireyin diş yapısı ve ağız sağlığı durumu farklıdır. Bu nedenle diş beyazlatma her birey için aynı şekilde değerlendirilmez.
Dikkat edilmesi gereken durumlar:
-
Diş hassasiyeti bulunan bireyler
-
Diş eti problemleri olan kişiler
-
Mine yapısı zayıflamış dişler
-
Çürük veya restorasyon bulunan dişler
Bu durumlarda beyazlatma planlaması daha özenli yapılmalıdır.
Diş Beyazlatma Diş Minesine Zarar Verir mi?
Diş beyazlatma ile ilgili en yaygın endişelerden biri, diş minesine zarar verip vermediğidir. Diş minesi, dişin en dış ve en sert tabakasıdır.
Diş hekimliği literatüründe:
-
Uygun doz ve sürede yapılan beyazlatma işlemlerinin
-
Diş minesinde kalıcı bir yapısal hasar oluşturduğuna dair güçlü bir kanıt bulunmamaktadır
Ancak aşırı ve kontrolsüz uygulamalar, mine yüzeyinde geçici hassasiyetlere neden olabilir.
Diş Beyazlatma Sonrası Hassasiyet Neden Görülür?
Diş beyazlatma sonrası bazı bireylerde geçici diş hassasiyeti görülebilir. Bu durum genellikle:
-
Dişin dış uyaranlara geçici olarak daha duyarlı hâle gelmesi
-
Dentin tübüllerinin daha belirgin hâle gelmesi
ile ilişkilidir. Çoğu zaman bu hassasiyet kısa sürelidir.
Diş Beyazlatma Diş Eti Sağlığını Etkiler mi?
Diş eti dokusu, dış etkenlere karşı hassas bir yapıya sahiptir. Diş beyazlatma sürecinde diş etlerinin korunması önemlidir. Uygun planlama ve dikkatli uygulama, diş eti dokusunun etkilenmesini önlemeye yardımcı olur.
Diş eti sağlığının zaten sorunlu olduğu durumlarda, beyazlatma öncesi bu sorunların değerlendirilmesi önemlidir.
Herkes Diş Beyazlatma Yaptırabilir mi?
Diş beyazlatma her birey için otomatik olarak uygun kabul edilmez. Bireysel değerlendirme önemlidir.
Genellikle değerlendirme gerektiren durumlar:
-
Gelişimini tamamlamamış dişler
-
İleri diş eti hastalıkları
-
Diş minesinde ciddi yapısal sorunlar
Bu tür durumlarda beyazlatma planlaması dikkatle ele alınır.
Diş Beyazlatmanın Kalıcılığı Neye Bağlıdır?
Diş beyazlatmanın etkisinin ne kadar süreceği birçok faktöre bağlıdır:
-
Beslenme alışkanlıkları
-
Ağız hijyenine gösterilen özen
-
Renklenmeye neden olan alışkanlıkların devamı
Beyazlatma işlemi kalıcı bir renk değişimi değil, zamanla etkisi azalan bir uygulama olarak değerlendirilir.
Evde Uygulanan Yöntemler Zararlı mı?
Evde uygulanan ve kontrolsüz şekilde kullanılan bazı yöntemler, diş sağlığı açısından risk oluşturabilir. Özellikle:
-
Aşındırıcı maddeler
-
Bilinçsiz uygulamalar
diş minesine zarar verme potansiyeline sahiptir. Bu nedenle evde denenen yöntemlerin etkileri konusunda dikkatli olunmalıdır.
Diş Beyazlatma ile İlgili Bilimsel Yaklaşım
Bilimsel çalışmalarda diş beyazlatma uygulamaları:
-
Uygun endikasyon
-
Doğru yöntem
-
Kontrollü uygulama
ilkeleri çerçevesinde ele alınır. Bu koşullar sağlandığında, diş beyazlatmanın diş sağlığına olumsuz etkilerinin sınırlı olduğu kabul edilir.
Diş Beyazlatma Ağız Sağlığını Geliştirir mi?
Diş beyazlatma, doğrudan ağız sağlığını iyileştiren bir işlem değildir. Ancak estetik memnuniyetin artması, bazı bireylerde ağız bakım alışkanlıklarına daha fazla özen gösterilmesine dolaylı olarak katkı sağlayabilir.
Diş Beyazlatma Hakkında Yaygın Yanlış Bilgiler
Yanlış: “Diş beyazlatma dişleri zayıflatır.”
Gerçek: Uygun koşullarda yapılan işlemlerin kalıcı zayıflatıcı etkisi olduğuna dair genel bir kabul yoktur.
Yanlış: “Beyazlatma herkes için zararlıdır.”
Gerçek: Etki kişiye ve uygulama şekline göre değişir.
Bilinçli Yaklaşımın Önemi
Diş beyazlatma konusunda en önemli nokta, bilinçli ve kontrollü bir yaklaşım benimsemektir. Her estetik uygulamada olduğu gibi, diş beyazlatmada da bireysel değerlendirme ve farkındalık büyük önem taşır.
Diş beyazlatma, estetik amaçlı bir uygulama olup, uygun koşullarda ve doğru değerlendirmelerle ele alındığında diş sağlığı açısından genel olarak güvenli kabul edilmektedir. Ancak her bireyin diş yapısı farklı olduğu için, diş beyazlatmanın etkileri de kişiden kişiye değişebilir.
Diş eti hastalıkları, ağız ve diş sağlığını tehdit eden en yaygın sorunlar arasında yer almasına rağmen çoğu zaman geç fark edilir. Bunun temel nedeni, bu hastalıkların erken dönemlerde belirgin ağrıya neden olmadan ilerleyebilmesidir. Birçok birey diş eti hastalığını yalnızca diş kaybı veya şiddetli ağrı ile ilişkilendirirken, gerçekte süreç çok daha erken başlar ve genellikle “sessiz” ilerler.
Diş Eti Hastalıkları Nedir?
Diş eti hastalıkları, dişleri çevreleyen yumuşak dokuların ve ilerleyen aşamalarda dişi destekleyen kemik dokunun etkilenmesiyle ortaya çıkan iltihabi süreçlerdir. Bu hastalıklar genellikle aşamalı şekilde ilerler ve başlangıç evresinde fark edilmesi zor olabilir.
Diş eti hastalıkları genel olarak:
-
Yüzeyel diş eti iltihapları
-
Daha derin dokuları etkileyen ileri diş eti hastalıkları
şeklinde sınıflandırılır.
Diş Eti Hastalıkları Neden “Sessiz” İlerler?
Diş eti hastalıklarının sessiz ilerlemesinin en önemli nedeni, erken evrelerde ağrı oluşturmamasıdır. Birçok birey ağrı hissetmediği sürece ağız içinde bir sorun olduğunu düşünmez. Ancak diş eti dokusunda başlayan iltihabi süreçler, başlangıçta hafif ve gözden kaçabilecek belirtilerle kendini gösterebilir.
Sessiz ilerlemenin başlıca nedenleri:
-
Erken dönemde ağrının olmaması
-
Belirtilerin hafif ve geçici algılanması
-
Diş eti kanamasının normal kabul edilmesi
Bu durum, hastalığın ilerlemesine zemin hazırlayabilir.
Diş Eti Hastalıkları Nasıl Başlar?
Diş eti hastalıklarının temelinde genellikle dental plak adı verilen bakteri tabakası yer alır. Plak, diş yüzeylerinde ve diş eti kenarında birikir. Zamanla bu bakteri birikimi diş eti dokusunu tahriş eder ve iltihabi süreci başlatır.
Bu süreçte:
-
Ağız hijyeninin yetersiz olması
-
Düzenli temizliğin ihmal edilmesi
-
Diş yüzeylerinde bakteri birikimi
önemli rol oynar.
Erken Dönemde Diş Eti Hastalıklarının Belirtileri
Diş eti hastalıklarının erken belirtileri çoğu zaman hafif seyreder ve kolayca göz ardı edilebilir. Ancak bu belirtiler, sürecin başladığını gösteren önemli işaretlerdir.
A. Diş Eti Kanaması
En yaygın erken belirtilerden biridir. Özellikle diş fırçalama veya diş ipi kullanımı sırasında görülen kanamalar dikkate alınmalıdır. Sağlıklı diş etleri kolayca kanamaz.
B. Diş Eti Kızarıklığı ve Şişlik
Sağlıklı diş etleri açık pembe renkte ve sıkı yapıdadır. Kızarıklık, şişlik ve parlak görünüm iltihabi sürecin erken göstergesi olabilir.
C. Diş Eti Hassasiyeti
Diş etlerinde hassasiyet, dokunmaya karşı duyarlılık veya hafif rahatsızlık hissi erken dönemde görülebilir.
D. Ağız Kokusu
Diş eti hastalıklarının erken evrelerinde bakteri artışına bağlı olarak ağız kokusu oluşabilir. Bu koku genellikle kalıcıdır ve ağız bakımıyla kısa sürede geçmeyebilir.
Diş Eti Hastalıkları İlerlediğinde Ne Olur?
Erken belirtiler dikkate alınmadığında, iltihabi süreç diş eti altına ve dişi destekleyen kemik dokusuna doğru ilerleyebilir. Bu aşamada belirtiler daha belirgin hâle gelir.
İlerleyen süreçte:
-
Diş eti çekilmeleri
-
Dişlerde sallanma hissi
-
Diş aralarında açılma
-
Çiğneme sırasında rahatsızlık
görülebilir.
Diş Eti Hastalıklarında Risk Faktörleri
Diş eti hastalıklarının gelişiminde bazı faktörler riski artırabilir:
-
Yetersiz ağız hijyeni
-
Sigara ve tütün ürünleri kullanımı
-
Hormonal değişimler
-
Stres
-
Bazı sistemik sağlık durumları
-
Ağız kuruluğu
Bu faktörler, hastalığın daha hızlı ilerlemesine katkı sağlayabilir.
Diş Eti Hastalıkları Her Yaşta Görülür mü?
Evet. Diş eti hastalıkları yalnızca yetişkinlerde değil, çocuklar ve gençlerde de görülebilir. Özellikle ağız bakım alışkanlıklarının yeterince gelişmediği dönemlerde diş eti sorunları ortaya çıkabilir.
Diş Eti Hastalıkları ile Genel Sağlık Arasındaki İlişki
Diş eti sağlığı, genel sağlıkla yakından ilişkilidir. Ağız içindeki iltihabi süreçler, vücudun diğer sistemlerini de dolaylı olarak etkileyebilir. Bu nedenle diş eti hastalıkları yalnızca ağızla sınırlı bir sorun olarak değerlendirilmemelidir.
Erken Teşhisin Önemi
Diş eti hastalıkları erken dönemde fark edildiğinde, süreç daha kolay kontrol altına alınabilir. Erken teşhis:
-
Diş eti dokusunun korunmasına
-
Dişi destekleyen yapıların zarar görmemesine
-
Uzun vadeli ağız sağlığının sürdürülmesine
katkı sağlar.
Diş Eti Hastalıklarından Korunmak Mümkün mü?
Diş eti hastalıklarının tamamen önlenmesi her zaman mümkün olmasa da, risk büyük ölçüde azaltılabilir. Bunun için günlük bakım alışkanlıkları ve farkındalık oldukça önemlidir.
Diş Eti Sağlığını Korumak İçin Nelere Dikkat Edilmeli?
Düzenli ve Doğru Diş Fırçalama
-
Günde en az iki kez diş fırçalama
-
Yumuşak kıllı diş fırçası kullanımı
-
Diş eti çizgisine nazik hareketlerle fırçalama
Ara Yüz Temizliği
Diş ipi ve ara yüz fırçaları, diş eti kenarında biriken plakların uzaklaştırılmasına yardımcı olabilir.
Dil Temizliği
Dil yüzeyinde biriken bakteriler ağız sağlığını olumsuz etkileyebilir. Nazik dil temizliği, bakteri yükünü azaltabilir.
Beslenme Alışkanlıkları
Dengeli beslenme, diş eti dokusunun direncini destekler. Şekerli ve yapışkan gıdaların sık tüketimi sınırlandırılmalıdır.
Ağız Kuruluğunun Önlenmesi
Yeterli su tüketimi ve ağızdan nefes almamaya dikkat edilmesi diş eti sağlığına katkı sağlar.
Düzenli Kontrollerin Rolü
Diş eti hastalıkları erken evrede fark edilmediğinde sessizce ilerleyebilir. Düzenli ağız ve diş sağlığı kontrolleri, bu sürecin izlenmesine yardımcı olur. Kontroller, bireyin kendi fark edemediği değişikliklerin değerlendirilmesini sağlar.
Diş Eti Hastalıkları Hakkında Yaygın Yanlış Bilgiler
Yanlış: “Diş etim kanıyorsa fırçalamamalıyım.”
Gerçek: Nazik ve doğru fırçalama devam etmelidir.
Yanlış: “Ağrı yoksa sorun yoktur.”
Gerçek: Diş eti hastalıkları ağrı olmadan ilerleyebilir.
Diş Eti Hastalıklarının Psikolojik Etkileri
Diş eti problemleri:
-
Ağız kokusu
-
Diş eti görünümündeki değişiklikler
-
Gülüşten kaçınma
gibi durumlara yol açarak bireyin özgüvenini ve sosyal yaşamını etkileyebilir.
Bilinçli Yaklaşım ve Farkındalığın Önemi
Diş eti hastalıklarının sessiz ilerleyebilmesi, bireylerin ağız sağlığına daha bilinçli yaklaşmasını gerekli kılar. Küçük belirtilerin bile önemsenmesi, uzun vadede daha ciddi sorunların önüne geçebilir.
Diş eti hastalıkları çoğu zaman ağrı oluşturmadan, sessizce ilerleyebilen bir sürece sahiptir. Erken dönemde görülen diş eti kanaması, kızarıklık, şişlik ve ağız kokusu gibi belirtiler göz ardı edilmemelidir.
Bu yazı, diş eti hastalıklarının neden sessiz ilerlediğini, erken belirtilerini ve korunma yollarını bilgilendirici bir çerçevede ele almak amacıyla hazırlanmıştır. Düzenli ağız bakımı, farkındalık ve takip, diş eti sağlığının korunmasında temel rol oynar.
Diş hekimliğinde estetik ve fonksiyonel beklentilerin artmasıyla birlikte kaplama uygulamaları da daha fazla gündeme gelmektedir. Diş rengindeki değişiklikler, şekil bozuklukları, kırıklar veya eski restorasyonlar nedeniyle kaplama planlaması yapılabilir. Bu noktada en sık karşılaşılan sorulardan biri, zirkonyum kaplama mı yoksa porselen kaplama mı tercih edilmelidir? sorusudur.
Her iki kaplama türü de diş hekimliğinde uzun yıllardır kullanılan, farklı özelliklere ve kullanım alanlarına sahip restoratif yaklaşımlardır. Ancak bu uygulamalar birbirinin alternatifi olarak değil, kişinin ağız yapısı, estetik beklentisi ve fonksiyonel ihtiyaçları doğrultusunda değerlendirilmesi gereken seçeneklerdir.
Diş Kaplama Nedir?
Diş kaplama, hasar görmüş veya estetik olarak düzenlenmesi planlanan dişlerin dış yüzeyinin, özel olarak hazırlanan restoratif materyallerle kaplanmasıdır. Kaplamalar:
-
Dişin şeklini
-
Rengini
-
Dayanıklılığını
-
Fonksiyonunu
desteklemeyi amaçlar. Kaplama planlaması, dişin mevcut durumu ve ağız içi dengeler dikkate alınarak yapılır.
Porselen Kaplama Nedir?
Porselen kaplama, metal altyapı üzerine porselen seramiğin uygulanmasıyla oluşturulan bir restorasyon türüdür. Uzun yıllardır diş hekimliğinde kullanılan bu sistem, özellikle dayanıklılık gerektiren durumlarda değerlendirilmiştir.
Porselen Kaplamanın Genel Özellikleri
-
Metal destekli yapı
-
Yüksek mekanik dayanım
-
Uzun yıllardır klinik kullanım deneyimi
Metal altyapı, porselen kaplamaya sağlamlık kazandırırken, estetik açıdan bazı sınırlamalar da oluşturabilir.
Zirkonyum Kaplama Nedir?
Zirkonyum kaplama, altyapısında metal yerine zirkonyum oksit kullanılan bir kaplama türüdür. Zirkonyum, diş hekimliğinde biyouyumlu ve estetik özellikleriyle öne çıkan bir materyaldir.
Zirkonyum Kaplamanın Genel Özellikleri
-
Metal içermeyen altyapı
-
Doğal diş rengine daha yakın görünüm
-
Işık geçirgenliği sayesinde estetik uyum
Zirkonyum kaplamalar, özellikle estetik beklentilerin ön planda olduğu durumlarda değerlendirilir.
Zirkonyum ve Porselen Kaplama Arasındaki Temel Farklar
Bu iki kaplama türü arasında hem materyal hem de estetik ve biyolojik özellikler açısından bazı farklar bulunmaktadır.
A. Altyapı Yapısı
-
Porselen kaplama: Metal altyapı üzerine porselen uygulanır.
-
Zirkonyum kaplama: Zirkonyum oksit altyapı üzerine seramik yapılandırılır.
Altyapı yapısı, kaplamanın estetik ve biyolojik uyumunu doğrudan etkiler.
B. Estetik Görünüm
Zirkonyum kaplamalar, ışık geçirgenliği sayesinde doğal diş görünümüne daha yakın bir estetik sunabilir. Metal destekli porselen kaplamalarda ise bazı ışık yansımaları ve diş eti seviyesinde renk farklılıkları görülebilir.
C. Diş Eti Uyumu
Metal içeren porselen kaplamalarda, diş eti kenarında zamanla koyu renk yansımaları oluşabilir. Zirkonyum kaplamalar ise metal içermediği için diş eti ile daha uyumlu bir görünüm sağlayabilir.
D. Dayanıklılık
Her iki kaplama türü de doğru planlama ve uygun kullanımda dayanıklı restorasyonlardır. Porselen kaplamalar uzun yıllardır arka bölge dişlerde fonksiyonel ihtiyaçlar için değerlendirilirken, zirkonyum kaplamalar hem ön hem arka bölgelerde kullanılabilir.
Estetik Beklentiler Açısından Hangisi Daha Uygun Olabilir?
Estetik beklentiler kişiden kişiye değişir. Ön diş bölgesinde doğal diş görünümüne yakınlık, ışık geçirgenliği ve renk uyumu daha fazla önem kazanır. Bu tür durumlarda zirkonyum kaplamalar sıklıkla değerlendirilir.
Arka bölgelerde ise estetikten ziyade:
-
Çiğneme kuvvetleri
-
Dayanıklılık
-
Fonksiyon
ön planda olabilir. Bu bölgelerde porselen kaplamalar da uygun bir seçenek olarak ele alınabilir.
Zirkonyum Kaplama Kimler İçin Değerlendirilebilir?
Zirkonyum kaplamalar aşağıdaki durumlarda planlama kapsamında değerlendirilebilir:
-
Ön diş estetiğinin ön planda olduğu bireyler
-
Metal altyapı istemeyen kişiler
-
Diş eti uyumuna önem verilen durumlar
-
Doğal diş rengine yakın görünüm beklentisi olanlar
Bu değerlendirmeler, klinik muayene ve planlama ile şekillenir.
Porselen Kaplama Kimler İçin Değerlendirilebilir?
Porselen kaplamalar ise şu durumlarda gündeme gelebilir:
-
Arka dişlerde yüksek çiğneme kuvveti bulunan bireyler
-
Uzun yıllardır kullanılan klasik restorasyon sistemleri tercih edilen durumlar
-
Fonksiyonel gereksinimin estetikten daha öncelikli olduğu vakalar
Her bireyin ağız yapısı farklı olduğu için bu kararlar kişiye özel verilir.
Kaplama Planlamasında Diş Kesimi ve Uyum
Her iki kaplama türünde de diş yüzeyinde belirli bir preparasyon yapılır. Amaç, kaplamanın dişle uyumlu şekilde yerleşmesini sağlamaktır. Planlama sırasında:
-
Dişin mevcut yapısı
-
Komşu dişlerle ilişkisi
-
Çene kapanışı
dikkate alınır.
Zirkonyum ve Porselen Kaplamaların Ağız Sağlığı ile İlişkisi
Kaplamaların başarısı yalnızca materyale değil, ağız hijyenine de bağlıdır. Her iki kaplama türünde de:
-
Düzenli diş fırçalama
-
Ara yüz temizliği
-
Ağız bakım alışkanlıkları
önemlidir. Kaplama, doğal diş gibi bakım gerektirir.
Kaplama Seçimi Neden Kişiye Özel Olmalıdır?
Aynı kaplama türü her birey için uygun olmayabilir. Seçimi etkileyen faktörler şunlardır:
-
Dişlerin konumu
-
Diş eti yapısı
-
Çene kapanışı
-
Estetik beklenti
-
Fonksiyonel ihtiyaçlar
Bu nedenle kaplama türü, genel bir öneriyle değil, bireysel değerlendirmeyle belirlenir.
Zirkonyum Kaplama mı Daha İyi, Porselen Kaplama mı?
Bu soru sıkça sorulsa da, tek bir doğru yanıtı yoktur. “Daha iyi” kavramı:
-
Kişinin ihtiyacına
-
Ağız yapısına
-
Beklentilerine
göre değişir. Bir kişi için zirkonyum daha uygunken, başka bir kişi için porselen kaplama daha doğru bir seçenek olabilir.
Kaplamaların Ömrü Neye Bağlıdır?
Kaplamaların kullanım süresi birçok faktöre bağlıdır:
-
Ağız bakım alışkanlıkları
-
Diş sıkma veya gıcırdatma alışkanlığı
-
Beslenme düzeni
-
Düzenli kontroller
Bu nedenle kaplamanın türü kadar, kullanım şekli de önemlidir.
Kaplama Sonrası Günlük Hayatta Nelere Dikkat Edilmeli?
-
Sert gıdaları dikkatli tüketmek
-
Diş sıkma alışkanlığı varsa farkında olmak
-
Ağız bakımını ihmal etmemek
Bu alışkanlıklar, kaplamaların uzun süre sağlıklı şekilde kullanılmasına katkı sağlar.
Zirkonyum ve Porselen Kaplama Hakkında Yaygın Yanlış Bilgiler
Yanlış: “Zirkonyum kaplama herkes için uygundur.”
Gerçek: Uygunluk kişiye göre değişir.
Yanlış: “Porselen kaplama estetik değildir.”
Gerçek: Porselen kaplamalar da uygun vakalarda estetik sonuçlar sağlayabilir.
Bilinçli Kaplama Seçiminin Önemi
Kaplama seçimi, yalnızca estetik beklentilerle değil, uzun vadeli ağız sağlığı ve fonksiyonel denge gözetilerek yapılmalıdır. Bilinçli bir planlama, kaplamanın hem estetik hem de fonksiyonel açıdan uyumlu olmasını destekler.
Zirkonyum kaplama ve porselen kaplama, diş hekimliğinde farklı ihtiyaçlara yanıt veren iki ayrı restoratif yaklaşımdır. Zirkonyum kaplamalar estetik uyum ve diş eti dostu yapılarıyla öne çıkarken, porselen kaplamalar uzun yıllardır kullanılan dayanıklı bir alternatiftir.
Bu yazı, zirkonyum kaplama ile porselen kaplama arasındaki farkları ve hangi durumlarda hangi seçeneğin değerlendirilebileceğini bilgilendirici bir çerçevede ele almak amacıyla hazırlanmıştır. En doğru kaplama seçimi, bireysel ağız yapısı ve ihtiyaçlar doğrultusunda yapılan değerlendirmeyle belirlenir.
Diş hassasiyeti, günlük yaşamda oldukça sık karşılaşılan ve çoğu zaman ani bir sızlama hissiyle fark edilen bir durumdur. Soğuk bir içecek içildiğinde, sıcak bir yiyecek tüketildiğinde ya da bazen tatlı veya ekşi gıdalarla temas sırasında ortaya çıkan bu sızlama, bireylerin yaşam konforunu olumsuz etkileyebilir. Diş hassasiyeti her yaş grubunda görülebilmekle birlikte, bazı dönemlerde ve belirli alışkanlıklar sonucunda artış gösterebilir.
Diş Hassasiyeti Nedir?
Diş hassasiyeti, dişin dış uyaranlara karşı normalden daha fazla tepki vermesi durumudur. Bu tepki çoğunlukla kısa süreli, keskin bir sızlama şeklinde hissedilir ve uyaran ortadan kalktığında azalır.
Hassasiyet genellikle:
-
Sıcak
-
Soğuk
-
Tatlı
-
Ekşi
uyaranlarla temas sırasında ortaya çıkar.
Diş Hassasiyeti Normal midir?
Diş hassasiyeti tek başına nadiren “normal” kabul edilir. Sağlıklı bir diş yapısında, dış uyaranlar dişin iç dokularına doğrudan ulaşmaz. Hassasiyet çoğu zaman dişin koruyucu tabakalarında bir değişiklik veya diş eti seviyesinde bir sorun olduğuna işaret eder.
Diş Hassasiyeti Neden Artar?
Diş hassasiyetinin artmasına neden olan faktörler tek başına ya da birlikte rol oynayabilir. Bu faktörler çoğunlukla dişin koruyucu yapılarının zayıflamasıyla ilişkilidir.
Diş Yapısının Kısa Bir Hatırlatması
Diş üç ana tabakadan oluşur:
-
Mine: Dişin en dış ve en sert tabakası
-
Dentin: Mineden sonra gelen, tübüller içeren daha hassas yapı
-
Pulpa: Dişin sinir ve damar dokusunu içeren iç bölümü
Dentin tabakası açığa çıktığında, dış uyaranlar daha kolay iletilir ve hassasiyet oluşur.
Sıcak-Soğuk Sızlamasının Temel Mekanizması
Sıcak veya soğuk uyaranlar dentin tabakasındaki mikroskobik kanalcıklar (dentin tübülleri) aracılığıyla dişin iç dokularına iletilir. Bu iletim, sinir uçlarının uyarılmasına ve sızlama hissinin oluşmasına neden olur.
Diş Minesinin Aşınması
Diş minesinin aşınması, diş hassasiyetinin en yaygın nedenlerinden biridir. Mine tabakasının incelmesi veya kaybı, dentinin açığa çıkmasına yol açar.
Minenin aşınmasına katkıda bulunabilecek durumlar:
-
Sert fırçalama alışkanlığı
-
Aşındırıcı içerikli diş macunları
-
Diş sıkma ve gıcırdatma alışkanlığı
Diş Eti Çekilmesi
Diş eti çekilmesi, diş kök yüzeylerinin açığa çıkmasına neden olur. Diş kökü yüzeyleri mine ile kaplı değildir ve dış uyaranlara karşı daha hassastır.
Diş eti çekilmesiyle ilişkili durumlar:
-
Yanlış fırçalama teknikleri
-
Diş eti hastalıkları
-
Yaşa bağlı değişiklikler
Asitli Gıdaların Tüketimi
Asitli yiyecek ve içecekler, diş minesinin mineral yapısını geçici ya da kalıcı olarak zayıflatabilir.
Bu tür gıdalara örnekler:
-
Gazlı içecekler
-
Asitli meyve suları
-
Sık tüketilen ekşi besinler
Asit etkisi sonrası mine yüzeyi daha hassas hâle gelebilir.
Yanlış Diş Fırçalama Alışkanlıkları
Dişleri çok sert fırçalamak ya da sert kıllı diş fırçaları kullanmak, diş minesine ve diş eti dokusuna zarar verebilir. Bu durum zamanla hassasiyetin artmasına yol açabilir.
Diş Sıkma ve Gıcırdatma (Bruksizm)
Diş sıkma veya gıcırdatma alışkanlığı, diş yüzeylerinde aşınmaya neden olabilir. Bu aşınma, mine tabakasının incelmesine ve dentinin açığa çıkmasına zemin hazırlar.
Diş Çürükleri ve Mikro Çatlaklar
Erken evredeki çürükler veya diş yüzeyindeki mikro çatlaklar, dış uyaranların dişin iç yapısına ulaşmasını kolaylaştırabilir. Bu durum sıcak-soğuk hassasiyetinin artmasına neden olabilir.
Restorasyonlar Sonrası Hassasiyet
Bazı diş işlemlerinden sonra geçici hassasiyet görülebilir. Bu hassasiyet çoğu zaman kısa sürelidir ve dişin uyum süreciyle ilişkilidir.
Ağız Kuruluğu
Tükürük, diş yüzeylerini koruyan doğal bir savunma mekanizmasıdır. Ağız kuruluğu durumunda bu koruyucu etki azalır ve dişler dış uyaranlara daha açık hâle gelir.
Ağız kuruluğuna yol açabilecek faktörler:
-
Yetersiz su tüketimi
-
Ağızdan nefes alma
-
Bazı ilaçların yan etkileri
Hormonal Değişiklikler
Hormonal dalgalanmalar, diş eti dokusunun hassasiyetini artırabilir. Bu durum dolaylı olarak diş hassasiyetine katkı sağlayabilir.
Diş Hassasiyeti Her Zaman Aynı Şiddette midir?
Hayır. Diş hassasiyeti:
-
Hafif
-
Orta
-
Belirgin
şiddette olabilir. Bazı bireylerde yalnızca soğukla hissedilirken, bazı bireylerde sıcak ve tatlı uyaranlarla da ortaya çıkabilir.
Günlük Alışkanlıklar Diş Hassasiyetini Etkiler mi?
Evet. Günlük yaşam alışkanlıkları diş hassasiyetinin artmasında veya azalmasında önemli rol oynar.
Günlük Hayatta Nelere Dikkat Edilmeli?
Nazik Diş Fırçalama
-
Yumuşak kıllı diş fırçası kullanımı
-
Diş eti çizgisine zarar vermeden fırçalama
Asitli Gıdalar Sonrası Bekleme
Asitli gıdalar sonrası hemen diş fırçalamak yerine bir süre beklemek mineyi koruyabilir.
Düzenli Ağız Bakımı
Diş ipi ve ara yüz temizliği, diş yüzeylerinin sağlıklı kalmasına katkı sağlar.
Diş Hassasiyeti Çocuklarda Görülür mü?
Evet. Çocuklarda da diş hassasiyeti görülebilir. Çoğu zaman:
-
Yeni sürmüş dişler
-
Yanlış fırçalama alışkanlıkları
-
Beslenme alışkanlıkları
ile ilişkilidir.
Diş Hassasiyeti Hakkında Yaygın Yanlış Bilgiler
Yanlış: “Hassasiyet normaldir, geçer.”
Gerçek: Sürekli hassasiyet, altta yatan bir nedenin göstergesi olabilir.
Yanlış: “Fırçalamayı bırakmalıyım.”
Gerçek: Nazik ve doğru fırçalama devam etmelidir.
Diş Hassasiyetinde Bilinçli Yaklaşımın Önemi
Diş hassasiyeti çoğu zaman yaşam tarzı ve ağız bakım alışkanlıklarıyla yakından ilişkilidir. Bu nedenle bilinçli ve düzenli bir yaklaşım, hassasiyetin kontrol altına alınmasında önemli rol oynar.
Diş hassasiyeti; mine aşınması, diş eti çekilmesi, asitli gıda tüketimi, yanlış fırçalama alışkanlıkları ve ağız kuruluğu gibi birçok faktöre bağlı olarak artabilir. Sıcak-soğuk sızlaması, dişin koruyucu yapılarında meydana gelen değişikliklerin bir sonucu olarak ortaya çıkar.
Sağlıklı bir ağız, hem genel sağlığın hem de sosyal özgüvenin temelidir.
-
İmplant Diş Tedavisi: Eksik dişlerin yerine, çene kemiğine yerleştirilen ve doğal diş kökü görevini gören titanyum vidalarla yapılan kalıcı çözümlerdir.
-
Gülüş Tasarımı: Yüz hatları, dudak yapısı ve dişlerin formunun dijital olarak analiz edilip kişiye en yakışan gülüşün planlanmasıdır.
-
Estetik Diş Hekimi: Dişlerin hem sağlığını hem de görsel güzelliğini (renk, dizilim, form) eş zamanlı olarak iyileştiren uzmanlık alanıdır.
-
Lamine Diş Kaplama (Yaprak Porselen): Dişlerin ön yüzeyine uygulanan, minimum aşındırma ile mükemmel estetik sonuç veren çok ince porselen tabakalardır.
-
Zirkonyum Diş Kaplama: Metal içermeyen, ışık geçirgenliği yüksek ve dayanıklı yapısıyla doğal dişe en yakın görünümü sunan kaplamalardır.
-
Diş Beyazlatma Tedavisi: Dişin yapısına işlemiş lekelerin özel jellerle temizlenerek diş renginin birkaç ton açılması işlemidir.
-
Protez Diş Tedavisi: Kaybedilen dişlerin yerini alan, sabit (köprü) veya hareketli (damak) apareylerle yapılan restorasyonlardır.
-
Genel Diş Tedavileri: Diş dolgusu, kanal tedavisi, diş taşı temizliği ve diş eti bakımı gibi temel ağız sağlığını koruyan uygulamalardır.
Ahırlı Kapsamlı Diş Tedavileri ve Estetik Rehberi
Ahırlı ilçesinde diş sağlığı, koruyucu hekimlik ile estetiğin buluştuğu bir noktadır. Ahırlı genel diş tedavileri kapsamında sunulan dolgu ve diş taşı temizliği gibi hizmetler, diş kayıplarını önlemede ilk basamaktır. Ancak diş kaybı yaşanmışsa, en modern çözüm olarak Ahırlı implant diş tedavisi önerilmektedir.
Estetik ve Restoratif Yaklaşımlar
Gülüşünü yenilemek isteyen hastalar için bir Ahırlı estetik diş hekimi, yüz analizi yaparak kişiye özel Ahırlı gülüş tasarımı hazırlar. Bu süreçte dişlerin formunu düzeltmek için Ahırlı lamine diş kaplama veya daha dirençli yapısıyla Ahırlı zirkonyum diş kaplama yöntemleri kullanılır.
Beyazlatma ve Protez
Sigara veya gıda kaynaklı lekeler için Ahırlı diş beyazlatma tedavisi uygulanırken, çoklu diş kayıplarında hastanın çiğneme konforunu iade eden Ahırlı protez diş tedavisi ile ağız bütünlüğü yeniden sağlanır.
Akören Genel ve Estetik Diş Sağlığı Rehberi
Akören ilçesindeki hastalar için diş sağlığı hizmetleri geniş bir yelpazede sunulur. Diş ağrısı ve çürük gibi sorunlarda başvurulan Akören genel diş tedavileri, sağlıklı bir ağız yapısının temelini oluşturur. Eksik dişlerin tamamlanmasında ise modern cerrahinin sunduğu Akören implant diş tedavisi en etkili yoldur.
Modern Kaplamalar ve Tasarım
Bir Akören estetik diş hekimi tarafından planlanan Akören gülüş tasarımı, dişlerin renginden dizilimine kadar her detayı kapsar. Bu kapsamda, estetik mucize olarak bilinen Akören lamine diş kaplama ve doğal ışık geçirgenliği sunan Akören zirkonyum diş kaplama uygulamaları gerçekleştirilir.
Parlak Gülüşler ve Fonksiyonel Protezler
Lekelerden arınmış bir gülüş için Akören diş beyazlatma tedavisi hızlı sonuç verir. Dişlerin tamamının veya bir kısmının kaybedildiği durumlarda ise Akören protez diş tedavisi ile hastanın yaşam kalitesi artırılır.
Akşehir Kapsamlı Diş Hekimliği Hizmetleri
Akşehir’de ağız sağlığı, hem temel tedavileri hem de ileri estetik uygulamaları içeren bir süreçtir. Diş eti sağlığı ve kanal tedavisi gibi Akşehir genel diş tedavileri, ağız sağlığının sürdürülebilirliği için kritiktir. Eksik dişlerde ise komşu dişlere dokunmadan uygulanan Akşehir implant diş tedavisi altın standarttır.
Gülüş Estetiği ve Kaplama Çözümleri
Akşehir estetik diş hekimi muayeneleriyle şekillenen Akşehir gülüş tasarımı, hastanın sosyal özgüvenini artırır. Bu süreçte uygulanan Akşehir zirkonyum diş kaplama ve estetik beklentisi yüksek hastalar için Akşehir lamine diş kaplama tedavileriyle kusursuz sonuçlar elde edilir.
Beyazlatma ve Protez Uygulamaları
Daha aydınlık dişler için Akşehir diş beyazlatma tedavisi sunulurken, total diş eksikliklerinde Akşehir protez diş tedavisi yöntemleri ile hem estetik hem de fonksiyonel bir iade sağlanır.
Altınekin Genel ve Estetik Diş Sağlığı Rehberi
Altınekin ilçesinde diş hekimliği hizmetleri, temel ağız bakımından ileri estetik cerrahiye kadar geniş bir yelpazede sunulmaktadır. Diş taşı temizliği, dolgu ve kanal tedavisi gibi Altınekin genel diş tedavileri, ağız sağlığının korunması için atılan ilk adımdır. Eksik dişlerin kalıcı ve sağlıklı bir şekilde tamamlanması için ise Altınekin implant diş tedavisi modern bir çözüm sunar.
Estetik Tasarım ve Kaplamalar
Gülüşünden memnun olmayan hastalar için bir Altınekin estetik diş hekimi eşliğinde hazırlanan Altınekin gülüş tasarımı, kişinin yüz hatlarıyla tam uyumlu bir görünüm hedefler. Bu süreçte, doğal diş yapısına en yakın estetiği sunan Altınekin lamine diş kaplama veya dayanıklılığı ile bilinen Altınekin zirkonyum diş kaplama yöntemleri tercih edilmektedir.
Beyazlatma ve Protez Çözümleri
Zamanla oluşan lekeleri gidermek için Altınekin diş beyazlatma tedavisi hızlı sonuç verirken, çoklu diş eksikliklerinde çiğneme fonksiyonunu geri kazandıran Altınekin protez diş tedavisi seçenekleri titizlikle uygulanır.
Beyşehir Kapsamlı Diş Tedavileri ve Modern Gülüşler
Beyşehir ilçesindeki hastalar için diş sağlığı, hem fonksiyonel hem de görsel bir bütünlük olarak ele alınmaktadır. Diş eti hastalıkları ve çürük müdahalelerini kapsayan Beyşehir genel diş tedavileri, sağlıklı bir gülüşün altyapısını oluşturur. Diş kayıplarında ise çene kemiğini koruyan en etkili yöntem Beyşehir implant diş tedavisidir.
İleri Estetik Uygulamalar
Bir Beyşehir estetik diş hekimi, hastanın beklentilerini dijital analizlerle birleştirerek kişiye özel Beyşehir gülüş tasarımı oluşturur. Estetik beklentisi yüksek olanlar için Beyşehir lamine diş kaplama, hem estetik hem direnç arayanlar için ise Beyşehir zirkonyum diş kaplama ideal çözümlerdir.
Aydınlık Bir Gülüş ve Protez
Gülüşünü tazelemek isteyenler için Beyşehir diş beyazlatma tedavisi güvenle uygulanır. Hareketli veya sabit diş eksikliklerinde ise yaşam kalitesini artıran Beyşehir protez diş tedavisi ile fonksiyonel iade sağlanır.
Bozkır Genel ve Restoratif Diş Hekimliği Rehberi
Bozkır ilçesinde sunulan diş hekimliği hizmetleri, dişlerin ömrünü uzatan koruyucu uygulamalarla başlar. Rutin kontrolleri içeren Bozkır genel diş tedavileri, ileride oluşabilecek büyük sorunların önüne geçer. Kalıcı diş kaybı durumunda ise doğal diş hissi veren Bozkır implant diş tedavisi başarıyla uygulanmaktadır.
Gülüş Estetiği ve Modern Kaplamalar
Sosyal özgüveni artıran Bozkır gülüş tasarımı, bir Bozkır estetik diş hekimi kontrolünde planlanır. Dişlerdeki form ve renk bozukluklarını gidermek için Bozkır zirkonyum diş kaplama ve minimal müdahale ile uygulanan Bozkır lamine diş kaplama seçenekleri sunulur.
Beyazlatma ve Protez Diş Tedavileri
Kısa sürede etkili bir beyazlık için Bozkır diş beyazlatma tedavisi tercih edilirken, çiğneme kapasitesini ve konuşma netliğini geri kazandıran Bozkır protez diş tedavisi yöntemleri her yaş grubuna uygun çözümler sunar.
Cihanbeyli Genel ve Estetik Diş Sağlığı Rehberi
Cihanbeyli ilçesinde sunulan ağız ve diş sağlığı hizmetleri, koruyucu hekimlikten ileri cerrahiye kadar geniş bir yelpazeyi kapsar. Diş dolgusu ve diş eti temizliği gibi Cihanbeyli genel diş tedavileri, sağlıklı bir ağız yapısının temelidir. Diş eksikliği yaşayan hastalar içinse doğal dişe en yakın çözüm olan Cihanbeyli implant diş tedavisi uygulanmaktadır.
Estetik Diş Hekimliği ve Kaplamalar
Bir Cihanbeyli estetik diş hekimi, hastanın yüz yapısına en uygun Cihanbeyli gülüş tasarımı planını oluşturur. Dişlerdeki renk ve form bozuklukları için estetik harikası Cihanbeyli lamine diş kaplama veya dayanıklılığıyla bilinen Cihanbeyli zirkonyum diş kaplama yöntemleri tercih edilmektedir.
Beyazlatma ve Protez
Daha parlak dişler için profesyonel Cihanbeyli diş beyazlatma tedavisi sunulurken, çoklu diş kayıplarında çiğneme fonksiyonunu geri kazandıran Cihanbeyli protez diş tedavisi seçenekleri titizlikle planlanır.
Çeltik Kapsamlı Diş Tedavileri Rehberi
Çeltik ilçesindeki hastalar için diş sağlığı hizmetleri, hem dişlerin ömrünü uzatmayı hem de estetik bir görünüm sağlamayı amaçlar. Rutin kontrolleri ve kanal tedavisini içeren Çeltik genel diş tedavileri, büyük operasyonların önüne geçer. Kalıcı diş kayıplarında ise Çeltik implant diş tedavisi ile fonksiyonel iade sağlanır.
Gülüş Estetiği ve Modern Kaplamalar
Kişiye özel Çeltik gülüş tasarımı protokolleri sayesinde her hasta hayalindeki gülüşe kavuşabilir. Bu kapsamda, diş dokusuna en az müdahale eden Çeltik lamine diş kaplama ve doğal ışık geçirgenliği sunan Çeltik zirkonyum diş kaplama uygulamaları bir Çeltik estetik diş hekimi tarafından gerçekleştirilir.
Beyazlatma ve Protez Uygulamaları
Gülüşünü tazelemek isteyenler için Çeltik diş beyazlatma tedavisi hızlı sonuç verir. Geniş çaplı diş eksikliklerinde ise hastanın yaşam konforunu artıran Çeltik protez diş tedavisi yöntemleri uygulanır.
Çumra Genel ve Restoratif Diş Hekimliği
Çumra’da modern diş hekimliği, temel tedavilerle ileri estetik çözümleri birleştirir. Diş eti bakımı ve dolgu gibi Çumra genel diş tedavileri, ağız sağlığının sürdürülebilirliği için ilk basamaktır. Diş kayıplarında çene kemiğinin erimesini önleyen Çumra implant diş tedavisi en modern yaklaşım olarak sunulur.
Tasarım ve Kaplama Çözümleri
Sosyal özgüveni destekleyen Çumra gülüş tasarımı, bir Çumra estetik diş hekimi tarafından hastanın karakterine uygun şekilde planlanır. Yüksek estetik sunan Çumra zirkonyum diş kaplama ve ince yapısıyla doğal duran Çumra lamine diş kaplama tedavileri ile kusursuz bir görünüm elde edilir.
Beyazlatma ve Fonksiyonel Protez
Lekelerden arınmış dişler için Çumra diş beyazlatma tedavisi uygulanırken, tam dişsizlik veya bölgesel kayıplar için Çumra protez diş tedavisi ile estetik ve fonksiyon bir arada sunulur.
Derbent Genel ve Estetik Diş Sağlığı Rehberi
Derbent ilçesinde ağız sağlığı hizmetleri, dişlerin doğal yapısını koruyan temel uygulamalarla başlar. Diş taşı temizliği, çürük tedavisi ve dolgu gibi Derbent genel diş tedavileri, sağlıklı bir gülüşün ilk adımıdır. Eksik dişlerin yerine konması ve çene yapısının korunması için ise en modern cerrahi çözüm olan Derbent implant diş tedavisi uygulanmaktadır.
Estetik Tasarım ve Modern Kaplamalar
Bir Derbent estetik diş hekimi, hastanın yüz hattı ve gülme hattını analiz ederek kişiye özel Derbent gülüş tasarımı planı hazırlar. Bu süreçte dişlerin formunu mükemmelleştiren Derbent lamine diş kaplama veya ışık geçirgenliğiyle doğal dişi aratmayan Derbent zirkonyum diş kaplama yöntemleri tercih edilir.
Beyazlatma ve Protez Çözümleri
Kalıcı lekelerden kurtulmak isteyenler için Derbent diş beyazlatma tedavisi hızlı ve güvenli bir sonuç sunarken; çoklu diş eksikliklerinde çiğneme fonksiyonunu geri kazandıran Derbent protez diş tedavisi seçenekleri titizlikle uygulanır.
Derebucak Kapsamlı Diş Tedavileri Rehberi
Derebucak ilçesindeki hastalar için diş sağlığı, hem fonksiyonel hem de görsel bir bütünlük olarak ele alınmaktadır. Diş eti hastalıklarına müdahale ve kanal tedavisi gibi Derebucak genel diş tedavileri, ağız sağlığının sürdürülebilirliği için hayatidir. Kalıcı diş kayıplarında ise kemik kaybını önleyen Derebucak implant diş tedavisi altın standarttır.
İleri Estetik ve Gülüş Yenileme
Sosyal özgüveni artıran Derebucak gülüş tasarımı, bir Derebucak estetik diş hekimi tarafından planlanan dijital süreçleri kapsar. Estetik beklentisi yüksek olanlar için Derebucak lamine diş kaplama, hem estetik hem direnç arayanlar için ise Derebucak zirkonyum diş kaplama ideal çözümlerdir.
Aydınlık Bir Gülüş ve Fonksiyonel Protez
Gülüşünü tazelemek isteyenler için Derebucak diş beyazlatma tedavisi sunulurken, total veya kısmi dişsizlik durumlarında hastanın yaşam kalitesini artıran Derebucak protez diş tedavisi ile estetik iade sağlanır.
Doğanhisar Genel ve Restoratif Diş Hekimliği
Doğanhisar ilçesinde sunulan diş hekimliği hizmetleri, modern materyaller ve güncel tedavi protokolleriyle korunmaktadır. Rutin diş muayenelerini içeren Doğanhisar genel diş tedavileri, ileride oluşabilecek diş kayıplarının önüne geçer. Diş eksikliği yaşayan hastalar için ise doğal diş kökü konforu veren Doğanhisar implant diş tedavisi başarıyla uygulanmaktadır.
Estetik Kaplama ve Tasarım Protokolleri
Kişiye özel hazırlanan Doğanhisar gülüş tasarımı, bir Doğanhisar estetik diş hekimi eşliğinde dişlerin formunu ve rengini yüze uyumlu hale getirir. Bu kapsamda, estetik mucize olarak bilinen Doğanhisar lamine diş kaplama ve dayanıklılığıyla bilinen Doğanhisar zirkonyum diş kaplama yöntemleri uygulanır.
Beyazlatma ve Protez Diş Uygulamaları
Daha parlak dişler için Doğanhisar diş beyazlatma tedavisi tercih edilirken, çiğneme kapasitesini ve konuşma netliğini geri kazandıran Doğanhisar protez diş tedavisi yöntemleri hastanın konforuna sunulur.
Emirgazi Genel ve Estetik Diş Sağlığı Rehberi
Emirgazi ilçesinde diş hekimliği hizmetleri, dişlerin fonksiyonunu korumayı ve estetik görünümünü iyileştirmeyi amaçlayan kapsamlı süreçleri içerir. Diş dolgusu, diş taşı temizliği ve kanal tedavisi gibi Emirgazi genel diş tedavileri, sağlıklı bir ağız yapısının temel taşlarıdır. Diş kayıpları durumunda ise komşu dişlere dokunmadan uygulanan en sağlıklı yöntem Emirgazi implant diş tedavisidir.
Estetik Diş Hekimliği ve Modern Kaplamalar
Gülüşünü modernize etmek isteyen hastalar için bir Emirgazi estetik diş hekimi, yüz hatlarıyla uyumlu bir Emirgazi gülüş tasarımı hazırlar. Bu planlama kapsamında, dişlerin ön yüzeyine uygulanan zarif Emirgazi lamine diş kaplama veya hem dayanıklı hem estetik olan Emirgazi zirkonyum diş kaplama uygulamaları gerçekleştirilir.
Beyazlatma ve Protez Çözümleri
Zamanla sararan dişler için Emirgazi diş beyazlatma tedavisi güvenli bir çözüm sunarken, yaygın diş eksikliklerinde çiğneme fonksiyonunu geri kazandıran Emirgazi protez diş tedavisi yöntemleri uygulanmaktadır.
Ereğli Kapsamlı Diş Tedavileri ve Gülüş Estetiği
Konya’nın en büyük ilçelerinden biri olan Ereğli’de diş hekimliği, teknolojik imkanların en üst düzeyde kullanıldığı bir alandır. Diş eti bakımı ve restoratif dolguları içeren Ereğli genel diş tedavileri, ağız sağlığının sürdürülebilirliği için ilk adımdır. Eksik dişlerin tedavisinde ise en modern cerrahi yaklaşım olan Ereğli implant diş tedavisi başarıyla sunulmaktadır.
İleri Estetik ve Tasarım Protokolleri
Uzman bir Ereğli estetik diş hekimi tarafından yürütülen Ereğli gülüş tasarımı, dijital ölçülerle kişiye özel planlanır. Işık geçirgenliği mükemmel olan Ereğli zirkonyum diş kaplama ve estetik beklentisi yüksek hastaların tercihi Ereğli lamine diş kaplama (yaprak porselen) ile kusursuz bir görünüm elde edilir.
Profesyonel Beyazlatma ve Protez
Hızlı ve etkili bir değişim için Ereğli diş beyazlatma tedavisi uygulanırken, tam dişsizlik veya bölgesel eksiklik durumlarında hastanın yaşam kalitesini artıran Ereğli protez diş tedavisi seçenekleri sunulur.
Güneysınır Genel ve Restoratif Diş Hekimliği Rehberi
Güneysınır ilçesinde ağız sağlığı hizmetleri, dişlerin ömrünü uzatan koruyucu uygulamalar ve estetik müdahalelerle korunmaktadır. Rutin kontroller ve diş eti sağlığını koruyan Güneysınır genel diş tedavileri, ağız sağlığının temelidir. Diş kaybı sonrası çene kemiğinin erimesini önleyen Güneysınır implant diş tedavisi, uzun ömürlü ve fonksiyonel bir çözüm sunar.
Gülüş Estetiği ve Kaplama Uygulamaları
Sosyal özgüveni tazeleyen Güneysınır gülüş tasarımı, bir Güneysınır estetik diş hekimi eşliğinde dişlerin formunu yüze uygun hale getirir. Bu kapsamda, estetik mucize olarak bilinen Güneysınır lamine diş kaplama ve sağlamlığı ile öne çıkan Güneysınır zirkonyum diş kaplama yöntemleri tercih edilmektedir.
Beyazlatma ve Fonksiyonel Protez
Daha enerjik bir gülüş için Güneysınır diş beyazlatma tedavisi tercih edilirken, çiğneme kapasitesini ve konuşma netliğini geri kazandıran Güneysınır protez diş tedavisi yöntemleri hastaların konforuna sunulur.
Hadim Genel ve Estetik Diş Sağlığı Rehberi
Hadim ilçesinde diş sağlığı hizmetleri, temel fonksiyonel ihtiyaçlardan ileri estetik beklentilere kadar tüm süreçleri kapsamaktadır. Diş temizliği, dolgu ve kanal tedavisi gibi Hadim genel diş tedavileri, ağız içindeki mevcut sağlığın korunmasını sağlar. Eksik dişlerin yerine konmasında en sağlam ve modern alternatif olan Hadim implant diş tedavisi ile doğal diş konforuna ulaşmak mümkündür.
Estetik Planlama ve Kaplama Yöntemleri
Bir Hadim estetik diş hekimi, hastanın gülüşünü kişiselleştirilmiş bir Hadim gülüş tasarımı ile yeniden yapılandırır. Dişlerin ön yüzeyine uygulanan ve minimal müdahale gerektiren Hadim lamine diş kaplama veya estetik ile dayanıklılığı birleştiren Hadim zirkonyum diş kaplama seçenekleri ile kusursuz bir görünüm hedeflenir.
Beyazlatma ve Protez Çözümleri
Dişlerindeki sararma ve lekelerden şikayetçi olan hastalar için Hadim diş beyazlatma tedavisi etkili bir çözümdür. Diş kayıplarının fazla olduğu durumlarda ise hastanın beslenme kalitesini artıran Hadim protez diş tedavisi yöntemleri uygulanır.
Halkapınar Kapsamlı Diş Tedavileri Rehberi
Halkapınar ilçesindeki hastalar için diş hekimliği uygulamaları, hem sağlığı korumayı hem de estetiği iyileştirmeyi amaçlar. Diş eti bakımı ve çürük müdahalelerini içeren Halkapınar genel diş tedavileri, ağız sağlığının sürdürülebilirliği için ilk basamaktır. Diş kaybı sonrası fonksiyonel kayıpları gidermek için ise Halkapınar implant diş tedavisi en kalıcı yöntemdir.
İleri Estetik ve Gülüş Yenileme
Gülüş estetiğini bir bütün olarak ele alan Halkapınar gülüş tasarımı, uzman bir Halkapınar estetik diş hekimi tarafından planlanır. Bu süreçte kullanılan Halkapınar zirkonyum diş kaplama ve hassas bir estetik sunan Halkapınar lamine diş kaplama tedavileri ile doğal bir sonuç elde edilir.
Aydınlık Bir Gülüş ve Fonksiyonel Protez
Sosyal özgüveni destekleyen Halkapınar diş beyazlatma tedavisi güvenle uygulanırken, çoklu diş eksikliklerinde hastanın yaşam konforunu artıran Halkapınar protez diş tedavisi seçenekleri sunulur.
Hüyük Genel ve Restoratif Diş Hekimliği Rehberi
Hüyük ilçesinde sunulan diş hekimliği hizmetleri, koruyucu tedavilerle estetik dokunuşları birleştirir. Rutin diş kontrollerini ve temel restorasyonları içeren Hüyük genel diş tedavileri, dişlerin ömrünü uzatmak için kritiktir. Diş kayıplarında ise komşu dişlere zarar vermeyen Hüyük implant diş tedavisi başarıyla uygulanmaktadır.
Estetik Kaplama ve Tasarım Protokolleri
Gülüşündeki asimetrileri gidermek isteyen hastalar için Hüyük estetik diş hekimi tarafından hazırlanan Hüyük gülüş tasarımı devreye girer. Bu kapsamda, doku dostu Hüyük lamine diş kaplama veya ışık geçirgenliği yüksek Hüyük zirkonyum diş kaplama tedavileri gerçekleştirilir.
Beyazlatma ve Protez Diş Uygulamaları
Hızlı ve etkili bir beyazlık için Hüyük diş beyazlatma tedavisi uygulanırken, çiğneme kapasitesini ve konuşma netliğini geri kazandıran modern Hüyük protez diş tedavisi yöntemleri her yaş grubuna çözüm sunar.
Ilgın Genel ve Estetik Diş Sağlığı Rehberi
Ilgın ilçesinde diş hekimliği hizmetleri, hem koruyucu uygulamaları hem de modern estetik müdahaleleri kapsayan bir bütünlükle sunulmaktadır. Diş dolgusu, kanal tedavisi ve diş taşı temizliği gibi Ilgın genel diş tedavileri, ağız sağlığının sürdürülebilirliği için temel gerekliliklerdir. Eksik dişlerin tedavisinde ise çene kemiğini koruyan en etkili yöntem Ilgın implant diş tedavisidir.
Estetik Diş Hekimliği ve Kaplamalar
Gülüş estetiğini bir adım ileriye taşımak isteyen hastalar için bir Ilgın estetik diş hekimi, dijital analizlerle kişiye özel Ilgın gülüş tasarımı planlar. Bu süreçte, doğal diş yapısını taklit eden Ilgın lamine diş kaplama veya dayanıklılığı ile bilinen Ilgın zirkonyum diş kaplama yöntemleri kullanılarak kusursuz bir görünüm elde edilir.
Beyazlatma ve Protez Çözümleri
Diş rengindeki koyulaşmaları gidermek için profesyonel Ilgın diş beyazlatma tedavisi uygulanırken, yaygın diş kayıplarında hastanın çiğneme konforunu iade eden Ilgın protez diş tedavisi seçenekleri titizlikle sunulmaktadır.
Kadınhanı Kapsamlı Diş Tedavileri Rehberi
Kadınhanı ilçesindeki hastalar için diş sağlığı, fonksiyonel kaybı gidermenin yanı sıra estetik bir mükemmellik olarak ele alınmaktadır. Diş eti hastalıklarına müdahale ve rutin restorasyonları içeren Kadınhanı genel diş tedavileri, ağız sağlığının altyapısını oluşturur. Diş kayıpları durumunda ise modern cerrahinin sunduğu Kadınhanı implant diş tedavisi ile kalıcı çözümler üretilir.
İleri Estetik ve Gülüş Yenileme
Sosyal özgüveni destekleyen Kadınhanı gülüş tasarımı, uzman bir Kadınhanı estetik diş hekimi tarafından hastanın yüz karakteristiğine göre şekillendirilir. Işık geçirgenliği yüksek olan Kadınhanı zirkonyum diş kaplama ve estetik beklentisi yüksek hastaların tercihi Kadınhanı lamine diş kaplama uygulamalarıyla doğal bir gülüş sağlanır.
Aydınlık Bir Gülüş ve Fonksiyonel Protez
Gülüşünü tazelemek isteyenler için Kadınhanı diş beyazlatma tedavisi güvenle uygulanırken, total veya kısmi dişsizlik durumlarında hastanın yaşam kalitesini artıran Kadınhanı protez diş tedavisi ile estetik ve fonksiyon bir arada sunulur.
Karapınar Genel ve Restoratif Diş Hekimliği
Karapınar ilçesinde sunulan diş hekimliği hizmetleri, güncel teknolojiler ve estetik bakış açısıyla her yaştan hastaya hitap etmektedir. Dişlerin ömrünü uzatan Karapınar genel diş tedavileri, ağız içindeki mevcut sağlığın korunmasını amaçlar. Diş kaybı sonrası doğal diş kökü görevini üstlenen Karapınar implant diş tedavisi, uzun ömürlü bir kullanım vaat eder.
Estetik Kaplama ve Tasarım Protokolleri
Gülüşündeki form bozukluklarını gidermek isteyen hastalar için bir Karapınar estetik diş hekimi eşliğinde hazırlanan Karapınar gülüş tasarımı devreye girer. Bu kapsamda, doku dostu Karapınar lamine diş kaplama ve yüksek dirençli yapısıyla bilinen Karapınar zirkonyum diş kaplama tedavileri gerçekleştirilir.
Beyazlatma ve Protez Diş Uygulamaları
Hızlı ve etkili bir beyazlık için klinik tip Karapınar diş beyazlatma tedavisi tercih edilirken, çiğneme kapasitesini geri kazandıran modern Karapınar protez diş tedavisi yöntemleri hastaların konforuna sunulur.
Kulu Genel ve Estetik Diş Sağlığı Rehberi
Kulu ilçesinde diş hekimliği hizmetleri, ağız ve diş sağlığını koruyucu temel uygulamalardan ileri estetik cerrahiye kadar her aşamayı kapsar. Diş taşı temizliği ve dolgu gibi Kulu genel diş tedavileri, ağız sağlığının sürdürülebilirliği için ilk basamaktır. Diş kayıplarında ise doğal diş kökü görevini gören Kulu implant diş tedavisi ile kalıcı çözümler sunulmaktadır.
Estetik Diş Hekimliği ve Modern Kaplamalar
Gülüş estetiğini yenilemek isteyen hastalar için bir Kulu estetik diş hekimi, yüz analizi yaparak kişiye özel Kulu gülüş tasarımı planlar. Bu süreçte, ışık geçirgenliği yüksek Kulu zirkonyum diş kaplama veya diş dokusuna minimal müdahale gerektiren Kulu lamine diş kaplama (yaprak porselen) yöntemleri tercih edilir.
Beyazlatma ve Protez Çözümleri
Gülüşünü aydınlatmak isteyenler için profesyonel Kulu diş beyazlatma tedavisi uygulanırken, çoklu diş eksikliklerinde çiğneme fonksiyonunu geri kazandıran Kulu protez diş tedavisi seçenekleri titizlikle planlanır.
Sarayönü Kapsamlı Diş Tedavileri Rehberi
Sarayönü ilçesindeki hastalar için diş sağlığı, fonksiyonel iade ve estetik bütünlük odaklı bir süreçtir. Kanal tedavisi ve rutin kontrolleri içeren Sarayönü genel diş tedavileri, dişlerin ömrünü uzatmak için kritiktir. Diş kayıpları durumunda ise komşu dişlere zarar vermeden uygulanan Sarayönü implant diş tedavisi başarıyla sunulmaktadır.
İleri Estetik ve Gülüş Yenileme
Sosyal özgüveni destekleyen Sarayönü gülüş tasarımı, uzman bir Sarayönü estetik diş hekimi tarafından dijital ölçülerle şekillendirilir. Modern diş hekimliğinde estetik standart olan Sarayönü zirkonyum diş kaplama ve hassas estetik sunan Sarayönü lamine diş kaplama tedavileriyle doğal bir gülüş sağlanır.
Aydınlık Bir Gülüş ve Fonksiyonel Protez
Hızlı sonuç veren Sarayönü diş beyazlatma tedavisi güvenle uygulanırken, total veya kısmi dişsizlik durumlarında yaşam kalitesini artıran Sarayönü protez diş tedavisi yöntemleri ile estetik ve fonksiyon bir arada sunulur.
Seydişehir Genel ve Restoratif Diş Hekimliği
Konya’nın en büyük ilçelerinden biri olan Seydişehir’de diş hekimliği, teknolojik imkanlar ve uzman dokunuşlarla şekillenmektedir. Diş eti sağlığı ve restoratif dolgu müdahalelerini kapsayan Seydişehir genel diş tedavileri, sağlıklı bir gülüşün altyapısını oluşturur. Diş kaybı sonrası çene yapısını koruyan en etkili yöntem Seydişehir implant diş tedavisidir.
Estetik Kaplama ve Tasarım Protokolleri
Kişiye özel hazırlanan Seydişehir gülüş tasarımı, bir Seydişehir estetik diş hekimi eşliğinde dişlerin formunu ve rengini mükemmelleştirir. Bu kapsamda, estetik mucize olarak bilinen Seydişehir lamine diş kaplama ve dayanıklılığıyla öne çıkan Seydişehir zirkonyum diş kaplama yöntemleri uygulanır.
Beyazlatma ve Protez Diş Uygulamaları
Daha parlak dişler için klinik tip Seydişehir diş beyazlatma tedavisi tercih edilirken, çiğneme kapasitesini ve konuşma netliğini geri kazandıran modern Seydişehir protez diş tedavisi seçenekleri hastaların konforuna sunulur.
Taşkent Genel ve Estetik Diş Sağlığı Rehberi
Taşkent ilçesinde ağız sağlığı hizmetleri, dişlerin doğal yapısını korumayı amaçlayan temel tedavilerle başlar. Diş taşı temizliği, çürük müdahalesi ve kanal tedavisi gibi Taşkent genel diş tedavileri, sağlıklı bir gülüşün en önemli basamağıdır. Diş kayıplarında ise doğal diş kökü konforunu aratmayan Taşkent implant diş tedavisi ile fonksiyonel kayıplar kalıcı olarak giderilmektedir.
Estetik Planlama ve Modern Kaplamalar
Bir Taşkent estetik diş hekimi, hastanın yüz hattı ve karakterine uygun bir Taşkent gülüş tasarımı planlar. Bu süreçte dişlerdeki form ve renk kusurlarını gidermek için estetik ışık geçirgenliği sunan Taşkent zirkonyum diş kaplama veya diş dokusuna en az müdahale ile uygulanan Taşkent lamine diş kaplama seçenekleri sunulur.
Beyazlatma ve Protez Diş Tedavileri
Daha parlak dişler için Taşkent diş beyazlatma tedavisi hızlı sonuç verirken, çoklu diş eksikliklerinde çiğneme dengesini geri kazandıran Taşkent protez diş tedavisi yöntemleri titizlikle uygulanır.
Tuzlukçu Kapsamlı Diş Tedavileri Rehberi
Tuzlukçu ilçesindeki hastalar için diş hekimliği uygulamaları, hem fonksiyonel hem de estetik bir bütünlük olarak ele alınmaktadır. Diş eti sağlığını koruyan müdahaleler ve rutin dolguları içeren Tuzlukçu genel diş tedavileri, ağız sağlığının sürdürülebilirliği için hayatidir. Kalıcı diş kayıplarında ise kemik erimesini önleyen Tuzlukçu implant diş tedavisi altın standarttır.
İleri Estetik ve Gülüş Yenileme
Gülüşündeki özgüveni tazelemek isteyenler için bir Tuzlukçu estetik diş hekimi tarafından hazırlanan Tuzlukçu gülüş tasarımı devreye girer. Bu kapsamda, doku dostu Tuzlukçu lamine diş kaplama ve sağlamlığı ile bilinen Tuzlukçu zirkonyum diş kaplama tedavileri ile kusursuz sonuçlar elde edilir.
Aydınlık Bir Gülüş ve Fonksiyonel Protez
Hızlı ve etkili bir değişim için Tuzlukçu diş beyazlatma tedavisi sunulurken, total veya kısmi dişsizlik durumlarında hastanın yaşam kalitesini artıran Tuzlukçu protez diş tedavisi ile estetik iade sağlanır.
Yalıhüyük Genel ve Restoratif Diş Hekimliği
Yalıhüyük ilçesinde sunulan diş hekimliği hizmetleri, dişlerin ömrünü uzatan koruyucu uygulamalar ve modern estetik müdahalelerle korunmaktadır. Rutin kontrolleri ve koruyucu işlemleri kapsayan Yalıhüyük genel diş tedavileri, ağız sağlığının temelidir. Diş kaybı sonrası çene yapısını koruyan Yalıhüyük implant diş tedavisi, uzun ömürlü ve fonksiyonel bir çözüm sunar.
Gülüş Estetiği ve Kaplama Uygulamaları
Sosyal özgüveni artıran Yalıhüyük gülüş tasarımı, bir Yalıhüyük estetik diş hekimi eşliğinde dijital analizlerle planlanır. Bu kapsamda, estetik mucize olarak bilinen Yalıhüyük lamine diş kaplama ve metal desteği içermeyen Yalıhüyük zirkonyum diş kaplama yöntemleri tercih edilmektedir.
Beyazlatma ve Fonksiyonel Protez
Daha enerjik bir gülüş için Yalıhüyük diş beyazlatma tedavisi tercih edilirken, çiğneme kapasitesini ve konuşma netliğini geri kazandıran Yalıhüyük protez diş tedavisi yöntemleri hastaların konforuna sunulur.
Yunak Kapsamlı Diş Sağlığı Rehberi
Yunak ilçesinde diş hekimliği hizmetleri, güncel teknolojiler ve estetik bakış açısıyla her yaştan hastaya hitap etmektedir. Dişlerin ömrünü uzatan dolgu ve kanal tedavisi gibi Yunak genel diş tedavileri, ağız içindeki mevcut sağlığın korunmasını amaçlar. Diş kaybı sonrası doğal diş kökü görevini üstlenen Yunak implant diş tedavisi, sağlamlığı ve doğal görünümüyle en çok tercih edilen yöntemdir.
Estetik Kaplama ve Tasarım Protokolleri
Gülüşündeki form bozukluklarını gidermek isteyen hastalar için bir Yunak estetik diş hekimi eşliğinde hazırlanan Yunak gülüş tasarımı devreye girer. Bu kapsamda, estetik beklentisi yüksek hastalar için Yunak lamine diş kaplama ve yüksek dirençli yapısıyla bilinen Yunak zirkonyum diş kaplama tedavileri gerçekleştirilir.
Beyazlatma ve Protez Diş Uygulamaları
Hızlı ve etkili bir beyazlık için klinik tip Yunak diş beyazlatma tedavisi tercih edilirken, çiğneme kapasitesini geri kazandıran modern Yunak protez diş tedavisi yöntemleri hastaların yaşam standartlarını yükseltir.
Önemli Hatırlatma: Bu içerik TDB (Türk Dişhekimleri Birliği) etik rehberine uygun olarak sadece bilgilendirme amacıyla hazırlanmıştır. Her vaka kişiye özeldir; kesin teşhis ve tedavi planı için diş hekiminize başvurunuz.
Gülüş, bireyin yüz ifadesini belirleyen en önemli unsurlardan biridir. Dişlerin rengi, formu, dizilimi ve diş etlerinin görünümü; gülüş estetiğini doğrudan etkiler. Bu nedenle gülüş tasarımı, yalnızca estetik bir yaklaşım olarak değil, aynı zamanda ağız fonksiyonlarının ve yüz uyumunun birlikte ele alındığı kapsamlı bir planlama süreci olarak değerlendirilir. Günümüzde gülüş tasarımı, standart uygulamalardan ziyade kişiye özel değerlendirmelerle şekillendirilmektedir.
Gülüş Tasarımı Nedir?
Gülüş tasarımı; dişlerin, diş etlerinin, dudakların ve yüz hatlarının bir bütün olarak değerlendirilmesiyle, bireyin doğal görünümünü ve ağız fonksiyonlarını desteklemeyi amaçlayan planlama sürecidir. Bu yaklaşımda hedef; yalnızca dişlerin estetik görünümü değil, çiğneme, konuşma ve ağız sağlığı gibi fonksiyonların da korunmasıdır.
Gülüş tasarımı:
-
Kişiye özgüdür
-
Standart ölçülerle sınırlı değildir
-
Yüz estetiği ve ağız fonksiyonlarını birlikte ele alır
Bu nedenle her birey için farklı bir planlama yapılır.
Gülüş Tasarımı Neden Kişiye Özel Olmalıdır?
Her bireyin:
-
Yüz şekli
-
Dudak yapısı
-
Diş ve çene ilişkisi
-
Diş eti görünümü
birbirinden farklıdır. Bu farklılıklar, gülüşün genel algısını doğrudan etkiler. Aynı diş formu veya renk tonu, farklı bireylerde aynı etkiyi yaratmayabilir. Bu nedenle gülüş tasarımında tek tip bir yaklaşım yerine kişiye özel planlama esas alınır.
Gülüş Tasarımında Değerlendirilen Temel Unsurlar
Gülüş tasarımı planlaması, birden fazla faktörün birlikte değerlendirilmesini gerektirir.
A. Dişlerin Rengi
Diş rengi, gülüş estetiğinin en dikkat çekici unsurlarından biridir. Renk değerlendirmesi yapılırken:
-
Bireyin cilt tonu
-
Dudak rengi
-
Yaş faktörü
göz önünde bulundurulur. Amaç, doğal ve yüzle uyumlu bir görünüm elde etmektir.
B. Dişlerin Formu ve Boyutu
Dişlerin şekli ve uzunluğu, gülüşün karakterini belirler. Dişlerin:
-
Çok kısa
-
Çok uzun
-
Orantısız
olması, estetik algıyı etkileyebilir. Kişiye özel planlamada diş boyutları yüz oranlarıyla uyumlu olacak şekilde değerlendirilir.
C. Diş Dizilimi ve Aralıklar
Dişlerin dizilimi, gülüşün düzenli veya düzensiz algılanmasında önemli rol oynar. Dişler arasındaki boşluklar, çapraşıklıklar veya konum farklılıkları planlama sürecinde dikkate alınır.
D. Diş Eti Görünümü
Diş eti seviyesi ve diş eti sağlığı, gülüş tasarımının ayrılmaz bir parçasıdır. Gülüş sırasında:
-
Diş etinin fazla görünmesi
-
Asimetrik diş eti hatları
estetik algıyı etkileyebilir. Bu nedenle diş eti konturları planlama sürecinde değerlendirilir.
E. Dudaklar ve Yüz Hatları
Gülüş tasarımı yalnızca dişlerle sınırlı değildir. Dudakların hareketi, gülüş sırasında dişlerin ne kadar göründüğü ve yüz hatlarıyla olan uyum da göz önünde bulundurulur.
Gülüş Tasarımı Süreci Nasıl Planlanır?
Gülüş tasarımı, belirli aşamalar doğrultusunda planlanan bir süreçtir. Bu aşamalar, bireyin ağız yapısına ve beklentilerine göre şekillenir.
İlk Değerlendirme ve Ağız İçi Muayene
Planlamanın ilk adımı, detaylı bir ağız içi ve yüz değerlendirmesidir. Bu aşamada:
-
Dişlerin durumu
-
Diş eti sağlığı
-
Çene ilişkisi
-
Mevcut restorasyonlar
incelenir. Ayrıca ağız fonksiyonları ve alışkanlıklar da göz önünde bulundurulur.
Yüz ve Gülüş Analizi
Yüz analizi, gülüş tasarımının temel taşlarından biridir. Bu analizde:
-
Yüzün simetrisi
-
Dudak hattı
-
Gülüş hattı
değerlendirilir. Amaç, dişlerin yüzle uyumlu bir şekilde konumlandırılmasını sağlamaktır.
Dijital ve Klinik Planlama Yaklaşımları
Gülüş tasarımı sürecinde dijital ve klinik değerlendirmeler bir arada kullanılabilir. Bu yöntemler, planlamanın daha öngörülebilir ve kontrollü yapılmasına yardımcı olur.
Bu aşamada:
-
Ölçümler
-
Görsel analizler
-
Fonksiyonel değerlendirmeler
birlikte ele alınır.
Kişisel Beklentilerin Değerlendirilmesi
Gülüş tasarımı sürecinde bireyin beklentileri de önemli bir yer tutar. Ancak bu beklentiler:
-
Yüz estetiği
-
Ağız sağlığı
-
Fonksiyonel gereklilikler
ile birlikte değerlendirilir. Amaç, gerçekçi ve dengeli bir planlama yapmaktır.
Gülüş Tasarımında Fonksiyonel Faktörler
Estetik görünüm kadar fonksiyon da önemlidir. Dişlerin:
-
Çiğneme sırasında uyumu
-
Konuşma fonksiyonuna etkisi
-
Çene eklemi ile ilişkisi
gülüş tasarımının ayrılmaz parçalarıdır. Fonksiyonel uyum sağlanmadan yapılan estetik düzenlemeler uzun vadede sorunlara yol açabilir.
Gülüş Tasarımı Herkes İçin Aynı mı Uygulanır?
Hayır. Gülüş tasarımı kişiye özgü bir süreçtir. Aynı yöntem veya aynı planlama her birey için uygun olmayabilir. Bu nedenle:
-
Yaş
-
Diş yapısı
-
Ağız sağlığı durumu
gibi faktörler dikkate alınır.
Gülüş Tasarımında Kullanılan Yaklaşımlar
Gülüş tasarımında farklı diş hekimliği uygulamaları bir arada değerlendirilebilir. Bu uygulamaların hangilerinin planlamaya dâhil edileceği, bireysel ihtiyaçlara göre belirlenir. Amaç, bütüncül bir ağız sağlığı yaklaşımı sunmaktır.
Gülüş Tasarımı Süresi Neye Göre Değişir?
Gülüş tasarımının süresi:
-
Yapılacak işlemlerin kapsamına
-
Ağız sağlığının başlangıç durumuna
-
Planlanan aşamaların sayısına
bağlı olarak değişiklik gösterebilir. Bazı durumlarda planlama süreci daha uzun bir zaman dilimini kapsayabilir.
Gülüş Tasarımı Kalıcı mıdır?
Gülüş tasarımının kalıcılığı, ağız bakım alışkanlıkları ve düzenli kontrollerle yakından ilişkilidir. Doğru bakım ve takip, yapılan düzenlemelerin uzun süre korunmasına katkı sağlar.
Gülüş Tasarımı ile İlgili Yaygın Yanlış Bilgiler
Yanlış: “Gülüş tasarımı sadece estetik amaçlıdır.”
Gerçek: Gülüş tasarımı, estetik ve fonksiyonu birlikte ele alır.
Yanlış: “Herkes için aynı gülüş idealdir.”
Gerçek: İdeal gülüş, kişiye göre değişir.
Gülüş Tasarımında Bilinçli Yaklaşımın Önemi
Gülüş tasarımı, kısa vadeli estetik beklentilerden ziyade uzun vadeli ağız sağlığını ve yüz uyumunu gözeten bir planlama sürecidir. Bu nedenle bilinçli ve dengeli bir yaklaşım önemlidir.
Gülüş tasarımı; diş, diş eti, dudak ve yüz hatlarının bir bütün olarak değerlendirildiği, kişiye özel planlama gerektiren kapsamlı bir yaklaşımdır. Her bireyin yüz yapısı ve ağız sağlığı farklı olduğu için gülüş tasarımı da kişiye özgü olarak ele alınmalıdır.
Bu yazı, gülüş tasarımının ne olduğu ve kişiye özel planlamanın nasıl yapıldığı konusunda bilgilendirici bir çerçeve sunmak amacıyla hazırlanmıştır. Doğru değerlendirme ve bilinçli planlama, estetik ve fonksiyonel uyumun birlikte sağlanmasına katkı sağlar.
Diş eti kanaması, birçok bireyin günlük ağız bakımı sırasında fark ettiği ancak çoğu zaman önemsemediği bir durumdur. Diş fırçalarken, diş ipi kullanırken ya da bazen kendiliğinden ortaya çıkan bu kanama, “normal” olarak algılanabilir. Oysa diş eti dokusu sağlıklı olduğunda kolayca kanamaz. Bu nedenle diş eti kanaması, ağız ve diş sağlığı açısından dikkate alınması gereken önemli bir belirtidir.
Diş Eti Kanaması Nedir?
Diş eti kanaması, diş eti dokusunun bütünlüğünün bozulması sonucu ortaya çıkan kanama durumudur. En sık diş fırçalama veya diş ipi kullanımı sırasında fark edilir. Bazı bireylerde ise herhangi bir temas olmadan da kanama görülebilir.
Diş eti kanaması:
-
Geçici olabilir
-
Tekrarlayıcı hâle gelebilir
-
Sürekli bir sorun olarak devam edebilir
Bu farklılıklar, altta yatan nedenlerle yakından ilişkilidir.
Diş Eti Kanaması Normal midir?
Kısa cevapla: Hayır, diş eti kanaması normal kabul edilmez.
Sağlıklı diş etleri:
-
Açık pembe renkte
-
Sıkı ve elastik yapıdadır
-
Fırçalama sırasında kanamaz
Kanama, çoğu zaman diş eti dokusunda bir hassasiyet veya iltihabi sürecin varlığına işaret eder. Bu nedenle “fırçalarken kanıyor ama geçiyor” düşüncesiyle göz ardı edilmemelidir.
Diş Eti Kanaması Neden Önemlidir?
Diş eti kanaması, erken dönemde fark edildiğinde ağız sağlığının korunmasına yönelik önemli bir uyarı olabilir. Göz ardı edildiğinde ise daha ileri diş eti sorunlarına zemin hazırlayabilir.
Diş eti kanaması:
-
Ağız hijyeninin yetersiz olduğunu gösterebilir
-
Diş eti hastalıklarının ilk belirtisi olabilir
-
Genel sağlıkla ilişkili bazı durumlara işaret edebilir
Bu nedenle nedeninin anlaşılması önemlidir.
Diş Eti Kanamasının En Yaygın Nedenleri
Diş eti kanamasının tek bir nedeni yoktur. Çoğu zaman birden fazla faktör birlikte rol oynar.
A. Yetersiz Ağız Hijyeni
Diş eti kanamasının en sık görülen nedeni yetersiz ağız bakımıdır. Diş yüzeylerinde ve diş eti kenarında biriken plak, zamanla diş eti dokusunu tahriş eder.
-
Düzensiz diş fırçalama
-
Diş ipi kullanımının ihmal edilmesi
-
Ara yüz temizliğinin yetersiz olması
plak birikimini artırarak diş eti kanamasına yol açabilir.
B. Diş Eti İltihabı (Gingivitis)
Gingivitis, diş eti dokusunun yüzeysel iltihabıdır ve diş eti kanamasının en yaygın klinik nedenlerinden biridir.
Gingivitis belirtileri:
-
Diş eti kızarıklığı
-
Şişlik
-
Fırçalama sırasında kanama
-
Diş eti hassasiyeti
Bu evrede diş eti hastalığı genellikle geri döndürülebilir niteliktedir.
C. Diş Eti Hastalıklarının İlerlemesi
Diş eti iltihabı kontrol altına alınmadığında daha derin dokulara ilerleyebilir. Bu durumda diş eti kanaması daha sık ve belirgin hâle gelebilir.
İleri evrelerde:
-
Kanama kendiliğinden olabilir
-
Diş etlerinde çekilme görülebilir
-
Ağız kokusu eşlik edebilir
D. Yanlış Diş Fırçalama Alışkanlıkları
Çok sert fırçalama ya da sert kıllı diş fırçaları, diş eti dokusuna zarar verebilir. Bu durum:
-
Mikro travmalara
-
Diş eti hassasiyetine
-
Kanamaya
neden olabilir.
E. Hormonal Değişiklikler
Hormonal dalgalanmalar, diş eti dokusunun hassasiyetini artırabilir. Özellikle:
-
Ergenlik dönemi
-
Hamilelik
-
Adet döngüsü
gibi dönemlerde diş eti kanaması daha kolay ortaya çıkabilir.
F. Beslenme Alışkanlıkları
Yetersiz ve dengesiz beslenme, diş eti sağlığını olumsuz etkileyebilir. Özellikle vitamin eksiklikleri, diş eti dokusunun direncini azaltabilir.
G. Bazı İlaçların Etkisi
Bazı ilaçlar diş eti dokusunda hassasiyet veya büyüme değişikliklerine neden olabilir. Bu durum, diş eti kanamasını tetikleyebilir.
H. Sistemik Sağlık Durumları
Bazı genel sağlık sorunları, diş eti kanamasıyla ilişkilendirilebilir. Bu tür durumlarda kanama yalnızca ağız hijyeniyle açıklanamayabilir.
Diş Eti Kanaması Ne Zaman Daha Sık Görülür?
Diş eti kanaması bazı durumlarda daha belirgin hâle gelebilir:
-
Uzun süre ağız bakımı ihmal edildiğinde
-
Yeni diş ipi kullanımına başlandığında
-
Hormonal değişim dönemlerinde
-
Ağız kuruluğu yaşandığında
Bu dönemlerde diş etlerinin daha hassas olması olasıdır.
Diş Eti Kanaması Kendiliğinden Geçer mi?
Bazı hafif durumlarda, ağız bakımının düzeltilmesiyle kanama azalabilir. Ancak:
-
Uzun süre devam eden
-
Tekrarlayan
-
Şiddeti artan
diş eti kanamaları mutlaka dikkate alınmalıdır. Kanamanın kendiliğinden geçmesi, altta yatan sorunun ortadan kalktığı anlamına gelmeyebilir.
Günlük Ağız Bakımı Diş Eti Kanamasını Azaltabilir mi?
Evet, doğru ve düzenli ağız bakımı diş eti kanamasının azaltılmasında önemli bir rol oynar.
Diş Eti Sağlığı İçin Günlük Hayatta Nelere Dikkat Edilmeli?
Düzenli ve Nazik Diş Fırçalama
-
Günde en az iki kez diş fırçalama
-
Yumuşak kıllı diş fırçası kullanımı
-
Diş eti çizgisine zarar vermeden fırçalama
Ara Yüz Temizliği
Diş ipi ve ara yüz fırçaları, diş eti kenarında biriken plakların uzaklaştırılmasına yardımcı olabilir.
Dil Temizliği
Dil yüzeyinde biriken bakteriler, ağız sağlığını ve diş eti durumunu dolaylı olarak etkileyebilir.
Beslenmeye Dikkat
Dengeli beslenme, diş eti dokusunun direncini destekler.
Ağız Kuruluğunu Önlemek
Yeterli su tüketimi ve ağızdan nefes almamaya dikkat edilmesi diş eti sağlığına katkı sağlayabilir.
Diş Eti Kanaması Çocuklarda Görülür mü?
Evet. Çocuklarda da diş eti kanaması görülebilir. Çoğu zaman:
-
Yetersiz fırçalama
-
Plak birikimi
-
Ortodontik apareylerin kullanımı
ile ilişkilidir. Ailelerin çocukların ağız bakımını yakından takip etmesi önemlidir.
Diş Eti Kanaması ve Genel Sağlık İlişkisi
Diş eti sağlığı, genel sağlıkla karşılıklı etkileşim içindedir. Ağız içindeki iltihabi süreçler, vücudun genel durumunu etkileyebilir. Bu nedenle diş eti kanaması yalnızca ağız içi bir sorun olarak değerlendirilmemelidir.
Diş Eti Kanaması Hakkında Yaygın Yanlış Bilgiler
Yanlış: “Diş etim kanıyorsa fırçalamamalıyım.”
Gerçek: Nazik ve doğru fırçalama devam etmelidir.
Yanlış: “Kanama normaldir, geçer.”
Gerçek: Kanama, altta yatan bir sorunun belirtisi olabilir.
Ne Zaman Daha Dikkatli Olunmalı?
Aşağıdaki durumlarda diş eti kanaması özellikle dikkatle izlenmelidir:
-
Uzun süredir devam ediyorsa
-
Kendiliğinden oluyorsa
-
Şişlik ve ağrı eşlik ediyorsa
-
Ağız kokusu ile birlikte görülüyorsa
Bu durumlar, diş eti sağlığında daha ileri sorunlara işaret edebilir.
Diş Eti Sağlığının Korunmasında Erken Farkındalık
Diş eti kanaması erken dönemde fark edildiğinde, ağız bakım alışkanlıklarının düzenlenmesiyle diş eti sağlığı desteklenebilir. Bu nedenle küçük belirtiler dahi önemsenmelidir.
Diş Eti Kanaması Psikolojik Olarak Ne Anlama Gelir?
Sürekli kanama yaşayan bireylerde:
-
Diş fırçalamaktan kaçınma
-
Ağız bakımını ihmal etme
-
Kaygı ve rahatsızlık hissi
gibi davranışlar gelişebilir. Bu durum, sorunun daha da ilerlemesine yol açabilir.
Bilinçli Yaklaşımın Önemi
Diş eti kanaması, çoğu zaman doğru ağız bakım alışkanlıklarıyla kontrol altına alınabilecek bir belirtidir. Ancak her bireyin ağız yapısı ve yaşam koşulları farklıdır. Bu nedenle kişiye özel yaklaşım ve düzenli takip önemlidir.
Diş eti kanaması normal kabul edilen bir durum değildir ve çoğu zaman ağız sağlığıyla ilgili bir uyarı niteliği taşır. Yetersiz ağız hijyeni, diş eti iltihapları, yanlış fırçalama alışkanlıkları ve bazı sistemik faktörler diş eti kanamasına yol açabilir.
Bu yazı, diş eti kanamasının nedenlerini ve neden göz ardı edilmemesi gerektiğini bilgilendirici bir çerçevede ele almak amacıyla hazırlanmıştır. Diş eti sağlığının korunması, genel ağız sağlığının sürdürülebilirliği açısından önemli bir adımdır.
Ağız kokusu, toplumda oldukça yaygın görülen ve bireylerin sosyal yaşamını, özgüvenini ve iletişimini etkileyebilen bir durumdur. Çoğu zaman geçici bir sorun olarak algılansa da, ağız kokusu bazı bireylerde sürekli hâle gelebilir ve altında yatan nedenlerin dikkatle değerlendirilmesini gerektirebilir. Ağız kokusunun kaynağı her zaman yalnızca ağız içi olmayabilir; günlük yaşam alışkanlıkları ve genel sağlık durumu da bu durum üzerinde etkili olabilir.
Ağız Kokusu Nedir?
Ağız kokusu, nefes sırasında hissedilen hoş olmayan kokuların genel adıdır. Tıbbi literatürde bu durum “halitozis” olarak adlandırılır. Ağız kokusu:
-
Geçici olabilir
-
Günün belirli saatlerinde ortaya çıkabilir
-
Sürekli hâle gelebilir
Kokunun süresi ve şiddeti, nedenine bağlı olarak değişkenlik gösterebilir.
Ağız Kokusu Neden Önemlidir?
Ağız kokusu yalnızca estetik veya sosyal bir sorun değildir. Bazı durumlarda ağız sağlığıyla veya genel sağlıkla ilgili ipuçları verebilir. Bu nedenle ağız kokusunun kaynağını anlamak ve doğru şekilde ele almak önemlidir.
Ağız Kokusunun En Yaygın Kaynakları Nelerdir?
Ağız kokusunun nedenleri genel olarak ağız içi kaynaklı ve ağız dışı kaynaklı olmak üzere iki ana grupta ele alınır.
Ağız İçi Kaynaklı Ağız Kokusu
Ağız kokusunun büyük bir kısmı ağız içindeki faktörlerden kaynaklanır.
A. Diş Yüzeylerinde ve Ara Yüzlerde Biriken Plak
Dişlerin yeterince temizlenmemesi sonucu plak birikir. Plak içerisindeki bakteriler, proteinleri parçalayarak uçucu kükürtlü bileşikler üretir. Bu bileşikler ağız kokusunun temel nedenlerinden biridir.
-
Düzensiz diş fırçalama
-
Diş ipi kullanımının ihmal edilmesi
-
Ara yüz temizliğinin yetersizliği
bu süreci hızlandırabilir.
B. Dil Yüzeyi ve Dil Üzerindeki Birikimler
Dil yüzeyi, özellikle arka bölgesi, bakteri tutulumuna oldukça elverişlidir. Dil üzerinde biriken gıda artıkları ve bakteriler ağız kokusuna önemli ölçüde katkı sağlayabilir.
Dil temizliğinin ihmal edilmesi, ağız kokusunun devam etmesine neden olabilir.
C. Diş Eti Problemleri
Diş eti dokularında oluşan hassasiyetler, iltihaplanmalar ve ileri diş eti hastalıkları ağız kokusunun önemli nedenleri arasındadır.
Bu durumlarda:
-
Diş eti çevresinde bakteri yükü artar
-
Doku aralarında gıda birikimi oluşabilir
-
Ağız kokusu daha kalıcı hâle gelebilir
D. Diş Çürükleri ve Eski Restorasyonlar
Derin diş çürükleri veya uyumu bozulmuş restorasyonlar, gıda birikimi için uygun alanlar oluşturabilir. Bu birikimler zamanla ağız kokusuna neden olabilir.
E. Ağız Kuruluğu
Tükürük, ağız içinin doğal temizleyicisidir. Ağız kuruluğu durumunda bu koruyucu etki azalır.
Ağız kuruluğuna neden olabilecek durumlar:
-
Yetersiz su tüketimi
-
Ağızdan nefes alma
-
Bazı ilaçların yan etkileri
Ağız kuruluğu, ağız kokusunun daha belirgin hâle gelmesine neden olabilir.
Ağız Dışı Kaynaklı Ağız Kokusu
Bazı durumlarda ağız kokusu, ağız içi hijyen yeterli olsa bile devam edebilir. Bu durumda ağız dışı faktörler değerlendirilir.
A. Sindirim Sistemi ile İlişkili Faktörler
Mide ve sindirim sistemi ile ilişkili bazı durumlar ağız kokusuna katkı sağlayabilir. Özellikle reflü gibi durumlarda mide içeriğinin ağız ortamına etkisi söz konusu olabilir.
B. Üst Solunum Yolları ve Burun Kaynaklı Faktörler
Burun tıkanıklığı, geniz akıntısı ve sinüslerle ilişkili durumlar da ağız kokusuna neden olabilir. Bu tür durumlarda koku, ağızdan değil üst solunum yollarından kaynaklanabilir.
C. Genel Sağlık Durumu
Bazı sistemik hastalıklar ağız kokusunun ortaya çıkmasına katkı sağlayabilir. Bu tür durumlarda ağız kokusu, ağız içi bakımla tamamen ortadan kalkmayabilir.
Sabah Ağız Kokusu Neden Oluşur?
Sabahları hissedilen ağız kokusu oldukça yaygındır. Uyku sırasında:
-
Tükürük akışı azalır
-
Ağız içi temizlenme mekanizması yavaşlar
-
Bakteriyel faaliyet artar
Bu durum sabah ağız kokusunun temel nedenidir ve genellikle ağız bakımı sonrası azalır.
Ağız Kokusu Her Zaman Kalıcı mıdır?
Hayır. Ağız kokusu:
-
Geçici olabilir
-
Belirli alışkanlıklara bağlı olarak ortaya çıkabilir
-
Düzenli ağız bakımıyla azalabilir
Ancak uzun süre devam eden ağız kokusu, dikkatle ele alınmalıdır.
Günlük ağız bakım alışkanlıkları, ağız kokusunun azaltılmasında önemli bir role sahiptir.
Günlük Ağız Bakımında Nelere Dikkat Edilmeli?
Düzenli Diş Fırçalama
-
Günde en az iki kez diş fırçalama
-
Doğru teknikle fırçalama
-
Tüm diş yüzeylerinin temizlenmesi
Ara Yüz Temizliği
Diş ipi veya ara yüz fırçaları, dişler arasındaki gıda artıklarının uzaklaştırılmasına yardımcı olur.
Dil Temizliği
Dil yüzeyinin nazik şekilde temizlenmesi, bakteri birikimini azaltabilir.
Yeterli Su Tüketimi
Su tüketimi tükürük akışını destekler ve ağız kuruluğunu azaltabilir.
Beslenme Alışkanlıklarının Ağız Kokusu Üzerindeki Etkisi
Bazı besinler ağız kokusunu artırabilir:
-
Soğan ve sarımsak
-
Baharatlı gıdalar
-
Şekerli ve yapışkan yiyecekler
Beslenme sonrası ağız bakımına dikkat edilmesi, kokunun azalmasına yardımcı olabilir.
Sigara ve alkol, ağız kuruluğunu artırarak ağız kokusuna zemin hazırlayabilir. Ayrıca ağız içi dokular üzerinde olumsuz etkiler oluşturabilir.
Ağız Kokusu Çocuklarda Görülür mü?
Evet. Çocuklarda da ağız kokusu görülebilir. Çoğu zaman:
-
Yetersiz ağız bakımı
-
Diş çürükleri
-
Üst solunum yolu problemleri
ile ilişkilidir. Ailelerin bu durumu dikkatle gözlemlemesi önemlidir.
Ağız Kokusu Hakkında Yaygın Yanlış Bilgiler
Yanlış: “Ağız kokusu sadece mideyle ilgilidir.”
Gerçek: Ağız kokusunun büyük kısmı ağız içi kaynaklıdır.
Yanlış: “Sakız çiğnemek sorunu çözer.”
Gerçek: Sakız geçici maskeleme sağlar; nedeni ortadan kaldırmaz.
Ne Zaman Dikkatli Olunmalı?
Ağız kokusu:
-
Uzun süredir devam ediyorsa
-
Günlük bakım ile azalmıyorsa
-
Ağız içinde belirgin değişiklikler eşlik ediyorsa
nedenlerinin değerlendirilmesi önemlidir.
Ağız Kokusunda Bilinçli Yaklaşımın Önemi
Ağız kokusu, çoğu zaman doğru ağız bakım alışkanlıkları ile kontrol altına alınabilir. Ancak her bireyin ağız yapısı ve yaşam koşulları farklıdır. Bu nedenle tek tip yaklaşım yerine bilinçli ve düzenli bakım ön planda olmalıdır.
Ağız kokusu; ağız içi hijyen eksikliği, diş eti problemleri, dil yüzeyinde birikimler, ağız kuruluğu ve bazı genel sağlık durumlarıyla ilişkili olarak ortaya çıkabilir. Günlük ağız bakım alışkanlıkları, ağız kokusunun azaltılmasında önemli bir rol oynar.
Bu yazı, ağız kokusunun nereden kaynaklanabileceğini ve günlük bakım ile ne ölçüde azaltılabileceğini bilgilendirici bir çerçevede ele almak amacıyla hazırlanmıştır. Düzenli ve bilinçli ağız bakımı, ağız sağlığının korunmasına katkı sağlayabilir.












